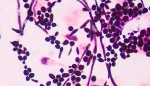
Causative Organism
Candida species (C. albicans) cause vulval and vaginal inflammation.
The vagina is colonized with Candida sp. in up to 20% of women in their reproductive years, rising to 40% in pregnancy.
Symptoms
-
Most asymptomatic.
-
Itching.
-
Irritation.
-
Typically white, curdy vaginal discharge.
-
Dysuria.
-
Symptoms more frequent and persistent when the woman is:
- Diabetic.
- Immunocompromised.
- Pregnancy.
/attachments/Pelvic-Inflammatory-Disease-(PID)-ps11-1.webp)
On Examination
- Signs of inflammation, including
- Erythema.
- Oedema.
- Fissuring of the vulva and vagina.
- Discharge (whitish - yoghurt-like).
Diagnosis
- Bacterial swab for microscopy and culture.
Treatment
- Topical intravaginal pessaries Or
- Oral Imidazole.
- Topical Vulval antifungals and the use of aqueous cream as an emollient and cleansing agent provide symptomatic relief.
This is not an STI and partners without symptoms do not require treatment
/attachments/Pelvic-Inflammatory-Disease-(PID)-ps12-2.webp)