Henoch-Schönlein Purpura (HSP) / IgA Vasculitis (IgAV)
Definition and Epidemiology
Henoch-Schönlein Purpura (HSP), also known as IgA Vasculitis (IgAV), is the most common vasculitis of childhood, characterized as a small vessel vasculitis.
- Pathogenesis: Involves increased serum IgA and IgA immune complexes, with IgA1-dominant deposits in vessel walls.
- Incidence: 20/100,000 children/year; 90% of cases occur between ages 3 and 15 (mean age 6â7 years).
- Epidemiology: More common in winter/spring and in boys (1.8:1 ratio).
- Triggers: Preceded by Upper Respiratory Tract Infection (URTI) in 50% of cases. Common triggers include:
- Group A Streptococcus, S. aureus, Mycoplasma, Adenovirus.
- Vaccines (MMR, COVID-19).
- COVID-19 infection.
- Certain drugs (including biologics).
- Associated Conditions: Higher incidence of kidney involvement and recurrent rash observed in patients with allergic rhinitis and chronic rhinosinusitis.
Pathology
- Skin: Vasculitis of dermal capillaries and postcapillary venules with neutrophil/monocyte infiltration (leukocytoclastic vasculitis).
- Kidney: Endocapillary proliferative glomerulonephritis (ranging from focal segmental to crescentic).
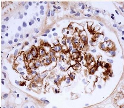
- Immunofluorescence: Identifies IgA deposition in small vessel walls, along with C3, fibrin, and IgM.
- Genetics: Associated with HLA-B35 and HLA-DRB1 alleles.
--and--HENOCH-SCHĂNLEIN-PURPURA_img-5.jpeg)
Clinical Manifestations
HSP is characterized by a classic tetrad of symptoms:
1. Skin: Palpable Purpura
- Hallmark: Occurs in 75â100% of cases.
- Appearance: Starts as pink macules/wheals, evolving into petechiae, palpable purpura, or large ecchymoses.
- Distribution: Symmetrical, involving lower extremities and buttocks.
- Evolution: Erupts in groups (lasting 3â10 days); may recur for up to 4 months.
- Edema: Subcutaneous edema in hands, feet, periorbital area, and scrotum is common.
2. Musculoskeletal: Arthritis and Arthralgia
- Frequency: 50â75%.
- Characteristics: Transient, migratory, oligoarticular (1â4 joints), and non-deforming.
- Location: Mainly hips, knees, and ankles.
- Presentation: Periarticular swelling and tenderness, usually without joint effusion or erythema.
3. Gastrointestinal (GIT) Manifestations
- Frequency: 50%.
- Symptoms: Nausea, vomiting, and abdominal pain.
- Complications: Intussusception (most common severe GIT complication), mesenteric ischemia, or perforation.
- Markers: Guaiac-positive stool (56%), increased fecal alpha-1-antitrypsin, and hypoalbuminemia.
- Timing: Typically follows the rash within 8 days, but precedes it in 15â35% of cases.
4. Renal Involvement
- Frequency: 25â50%; more prevalent in older children. Z
- Presentation: Microscopic hematuria (most common) with/without red blood cell casts and mild proteinuria.
- Risk Factors: Nephrotic-range proteinuria, elevated creatinine, and hypertension increase the risk of progressive disease.
- Prognosis: Progression to end-stage renal disease (ESRD) occurs in 1â2% of children. Z
Other Systemic Involvement
- Urologic (2â30%): Scrotal pain, swelling (epididymitis/orchitis). Scrotal edema may cause testicular torsion.
- Neurologic: Headaches, seizures, encephalopathy (PRES), or stroke (rare).
- Respiratory: Impaired lung diffusion capacity is common; pulmonary hemorrhage is rare.
- Eyes: Keratitis and uveitis (rare).
Central & peripheral nervous system â headaches, seizures, encephalopathy (including hypertensive encephalopathy and posterior reversible encephalopathy syndrome PRES), focal neurologic deficits, ataxia, intracerebral hemorrhage, and neuropathy. Most CNS findings are transient; occasional permanent sequelae may follow hemorrhagic stroke.
Respiratory tract â In hospitalized IgAâvasculitis patients, impaired lung diffusion (~97âŻ%) and mild interstitial changes on chest Xâray (~69âŻ%) are common even without notable respiratory symptoms. Pulmonary hemorrhage is rare.
Ocular â Keratitis and uveitis occur rarely as sequelae.
--and--HENOCH-SCHĂNLEIN-PURPURA_img-8.jpeg)
Clinical Manifestations
Diagnosis
The diagnosis is primarily clinical and usually straightforward when palpable purpura is present. In ââŻ25âŻ% of cases the rash appears after other manifestations, making early recognition challenging.
Classification criteria â Palpable purpura (in the absence of coagulopathy or thrombocytopenia) plus at least one of the following:
- Abdominal pain (acute, diffuse, colicky)
- Biopsy of affected tissue showing predominant IgA deposition
- Arthritis or arthralgia
- Renal involvement (proteinuriaâŻ>âŻ3âŻg/24âŻh, hematuria, or redâcell casts)
Laboratory clues
- Serum IgA elevated in ~50âŻ% of patients; higher levels are associated with kidney involvement.
- Normochromic anemia due to occult or overt gastrointestinal bleeding.
- Leukocytosis and ââŻESR when IgAV follows bacterial infection.
- PT, aPTT, bleeding time, and platelet count are typically normal.
- Initial urinalysis often normal, though proteinuria/hematuria may develop over time.
- Renal assessment includes bloodâpressure measurement, urinalysis, and serum creatinine.
- Hypocomplementemia (C3,âŻC4) is reported in a significant proportion of children, often linked to recent streptococcal infection.
- ANA and ANCA are usually negative.
Differential Diagnosis Comparison
| Criteria | ITP | Acute Leukemia | Aplastic Anemia | HSP |
|---|---|---|---|---|
| Hb / RBC | Normal | Decreased | Decreased | Normal |
| WBC Count | Normal | Highly Increased | Decreased | Normal/Increased in some cases |
| Platelets | Decreased | Decreased | Decreased | Normal |
Differential diagnosis for IgAV
The differential depends on the organ(s) involved:
-
Purpura
- Consider septicemia, immune thrombocytopenia (ITP), hemolytic uremic syndrome (HUS), leukemia, and coagulopathies (eg, hemophilia).
- Normal platelet count and coagulation studies help differentiate IgAV from these conditions.
- Other causes of purpura with normal platelets/coagulation: other smallâvessel vasculitides, hypersensitivity vasculitis, and acute hemorrhagic edema of infancy (AHEI).
- Consider septicemia, immune thrombocytopenia (ITP), hemolytic uremic syndrome (HUS), leukemia, and coagulopathies (eg, hemophilia).
-
Arthritis / Arthralgia
- Evaluate for alternative rheumatologic or septic causes when presentation is atypical or persistent.
-
Abdominal pain
- Consider surgical and nonâsurgical gastrointestinal causes if pain is severe, prolonged, or accompanied by bleeding.
-
Kidney disease
- Differentiate from other causes of glomerulonephritis based on clinical course, labs, and urinalysis.
IgAV management (general principles)
- Most patients: outpatient care with adequate oral hydration, bed rest, and symptomatic relief for joint/abdominal pain.
- Analgesia: NSAIDs (eg, naproxen) for joint and/or abdominal pain when appropriate.
- Oral prednisone for severe abdominal pain that prevents oral intake, for patients who fail NSAIDs, or for other lifeâthreatening manifestations.
- Important: prednisone reduces abdominal and joint pain but does not change overall prognosis nor prevent renal disease.
- Severe disease: intravenous immune globulin (IVIG) and plasma exchange are sometimes used.
- Chronic IgAV renal disease: immunosuppressants such as azathioprine, cyclophosphamide, cyclosporine, or mycophenolate may be employed.
Indications for hospitalization
- Inability to maintain adequate hydration orally
- Severe abdominal pain
- Significant gastrointestinal bleeding
- Altered mental status or respiratory compromise
- Severe pain or joint involvement limiting ambulation/selfâcare
- Kidney insufficiency (elevated creatinine), hypertension, and/or nephrotic syndrome
Longâterm complications and monitoring
- Renal disease is the major longâterm complication. Incidence of chronic renal disease â 1â2%.
- Nephritis can develop up to 6 months after diagnosis â serial monitoring of blood pressure and urinalysis for several months is recommended.
Prognosis
- Overall excellent for childhood IgAV; most cases are acute and selfâlimited (average duration ~4 weeks).
- Recurrence in ~30% of children, typically within 4â6 months of diagnosis.
- Longâterm outcome depends largely on severity/duration of gastrointestinal or renal involvement.
- Of children who develop IgAV nephritis, ~8% may progress to endâstage renal disease.
- Rarely, death can occur in the acute phase from bowel infarction, CNS involvement, or severe renal disease.