Neurofibromatosis
This is the commonest neurocutaneous syndrome and is transmitted as an autosomal dominant characteristic.
Two gene defects have been identified:
- NF-1 (Chromosome 17): Mainly cutaneous features and peripheral nerve abnormalities.
- NF-2 (Chromosome 22): Mainly central nervous system involvement and acoustic neuroma formation after the age of 20.
Neurofibromatosis Type 1 (NF1)
Also known as von Recklinghausen disease.
NF1 has an incidence of 1 in 3000 live births. It is caused by an autosomal dominant gene on Chromosome 17.
- 50% are inherited from an affected parent.
- 50% result from sporadic (de novo) gene mutation.
Clinical Manifestations & Diagnostic Criteria
The disease is clinically diagnosed when ≥ 2 of the following seven features are present:
1. Café-au-lait Macules (≥ 6)
- Size: > 5 mm in greatest diameter in prepubertal individuals; > 15 mm in postpubertal individuals.
- They are the hallmark of neurofibromatosis and are present in almost 100% of patients.
- Typically the 1st manifestation to appear (present at birth but increase in size, number, and pigmentation).
- Note: They are not specific for NF1 and may be observed in other disorders.

2. Axillary or Inguinal Freckling (Crowe Sign)
- Consists of multiple hyperpigmented areas 2–3 mm in diameter.

3. Lisch Nodules (Iris Hamartomas) (≥ 2)
- Hamartomas located within the iris.
- Best identified by slit lamp examination.

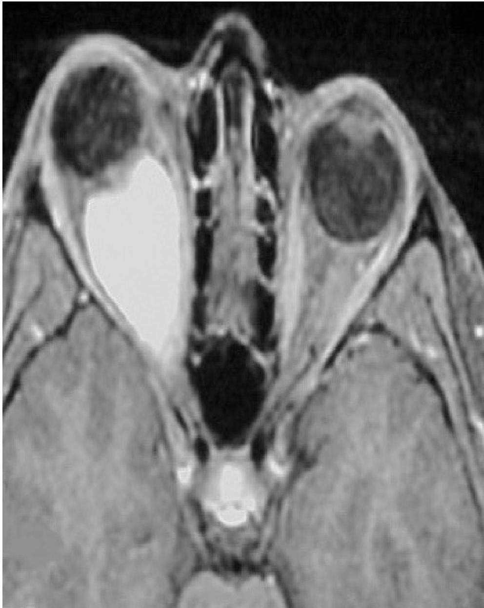
4. Neurofibromas (≥ 2) or Plexiform Neurofibroma (1)
- Neurofibromas are the most common type of benign tumor in NF1.
- Benign tumors of peripheral nerve sheath.
- Most visible on the skin (small rubbery lesions with slight purplish discoloration), but may occur on any peripheral nerve including blood vessels and GI tract.
- Plexiform neurofibromas:
- Typically congenital and result from diffuse thickening of nerve trunks and surrounding soft tissues.
- May produce overgrowth of an extremity and deformity of the corresponding bone.
- Pathognomonic for NF1 and has a risk of malignant transformation.
Dermal vs. Plexiform Neurofibroma:

5. Osseous Lesions
- Distinctive osseous lesions such as:
- Sphenoid dysplasia (may cause pulsating exophthalmos).
- Cortical thinning/thickening of long bones.
- Tibial pseudoarthrosis.
6. Optic Glioma
- The most frequently observed CNS tumor in NF1.


7. A First-Degree Relative with NF1
Complications of NF1
- Learning Disability: The most common complication, affecting > 50% of individuals.
- Seizures.
- Cerebral Vascular Abnormalities: Aneurysm or stenosis leading to CVA, hemiparesis, and cognitive defect.
- Malignancies: Higher incidence of pheochromocytoma, leukemia, and Wilms tumor.
- Scoliosis: A common complication.
- Hypertension: Results from renal vascular stenosis or pheochromocytoma.
Diagnosis & Management
Diagnosis:
- History and physical examination.
- MRI findings.
Management:
- There is no specific treatment; therapy is symptomatic.
- Multidisciplinary follow-up is necessary.
- Annual Assessments:
- Vision exam (Ophthalmologic).
- Neurologic assessment.
- Blood pressure monitoring.
- Full physical examination (Scoliosis evaluation, tumor surveillance).
- Treat complications.
- Neuropsychological and educational testing should be considered.
- Genetic counseling.
Neurofibromatosis Type 2 (NF2)
Also known as MISME syndrome (Multiple Inherited Schwannomas, Meningiomas, and Ependymomas).
- Less common than NF1.
- Inheritance: Autosomal Dominant (Gene on Chromosome 22).
- Incidence: 1 in 25,000.
- Note: Café-au-lait macules can be seen but are much less frequent. NF2 is not associated with cognitive impairment (unlike NF1).
Clinical Manifestations
- Symptoms often appear during childhood: Tinnitus, hearing loss, facial weakness, headache, or unsteadiness.
- First manifestation: Typically Cataracts.
- Most common tumor: Schwannomas.
- Most common affected cranial nerve: CN VIII (Vestibulocochlear nerve).
Diagnostic Criteria
Diagnosed when one of the following sets is present:
1. Bilateral Vestibular Schwannomas (Acoustic Neuromas)

2. Unilateral Vestibular Schwannoma AND First-Degree Relative with NF2
3. Unilateral Vestibular Schwannoma OR First-Degree Relative with NF2 AND any two of the following:
- Meningioma
- Non-vestibular schwannoma
- Ependymoma
- Cataract

Management
- Multidisciplinary team approach.
Schwannomatosis
- A form of neurofibromatosis clinically distinct from NF1 and NF2.
- Characterized by multiple Schwannomas in the absence of bilateral vestibular schwannomas.
- Incidence: ~0.47 in 1,000,000 persons.