Tuberous Sclerosis Complex (TSC)
Tuberous Sclerosis Complex (TSC) is an autosomal dominant disorder characterized by hamartomas in many organs, especially the brain, eyes, skin, kidneys, and heart.
- Incidence: 1 in 10,000 births.
- Inheritance: 2/3 of cases are sporadic (new mutations).
Clinical Manifestations
TSC is extremely heterogeneous with variable expression (from normal intelligence to severe intellectual disability/autism).
1. Neurological Features
- Infantile Spasms: TSC is one of the most common causes; often the most common presenting feature in infants. (Best treated with Vigabatrin).
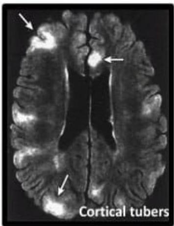
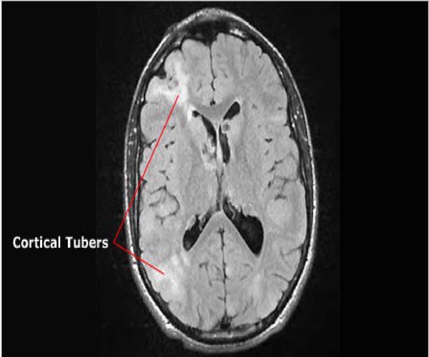
- Cortical Tubers: Brain lesions (Cortical dysplasias).
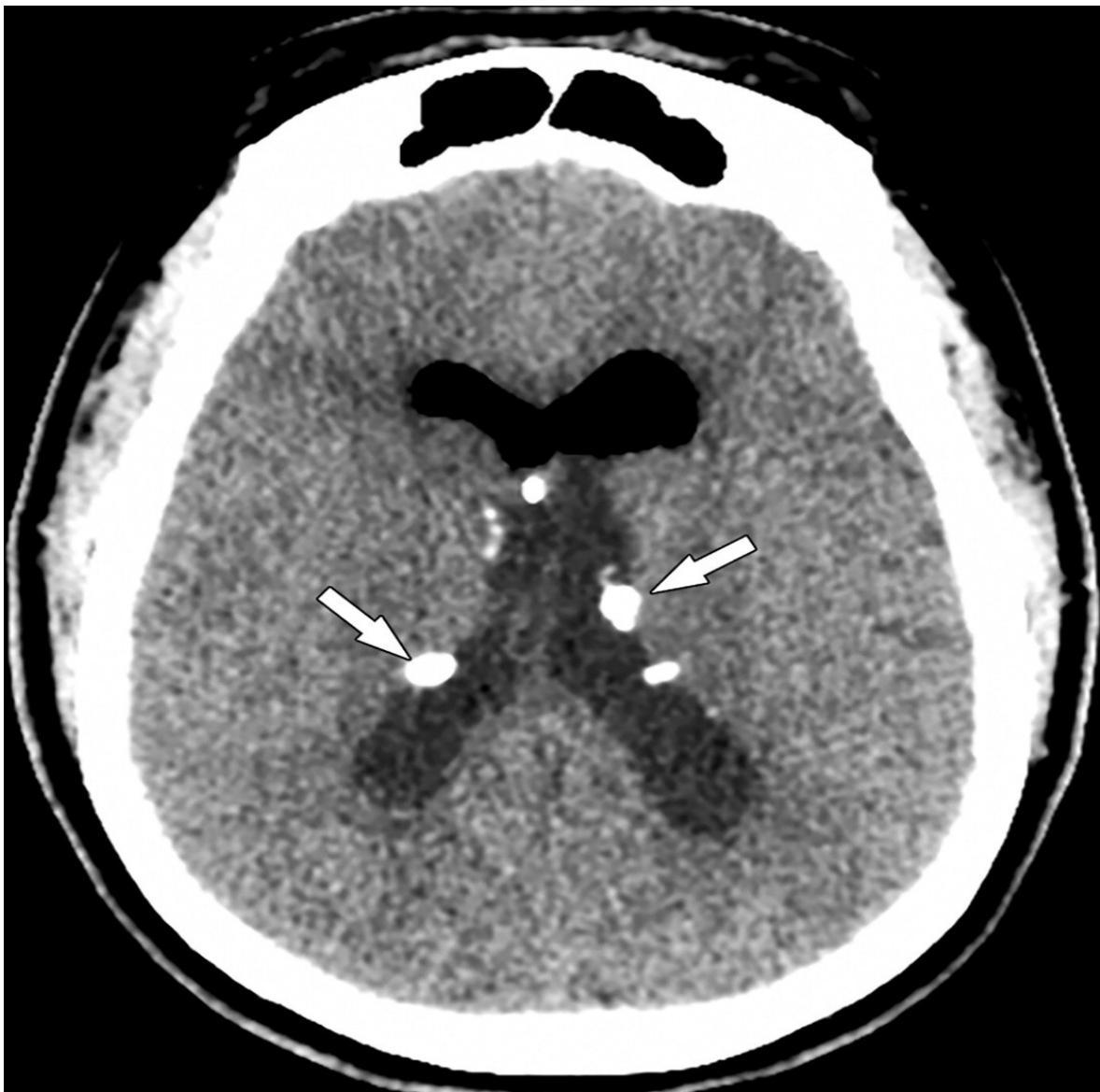
- Subependymal Nodules: Calcified nodules adjacent to lateral ventricles (Hamartomas).
- Subependymal Giant Cell Astrocytoma (SEGA): Can cause obstruction of CSF outflow Hydrocephalus.
- Seizures & Intellectual Disability.
Subependymal calcification:
Cortical tubers:

2. Dermatological Features
- Hypomelanotic Macules (Ash-leaf spots): Most common cutaneous manifestation. Easiest to visualize under Wood’s lamp. Apparent in infancy.
- Facial Angiofibromas (Adenoma Sebaceum): Small reddish nodules over nose/cheeks in butterfly distribution (sometimes confused with acne).
- Shagreen Patches: Elevated, rough plaques (connective tissue nevus), usually on lumbar/gluteal regions.
- Ungual Fibromas.
- “Confetti” Skin Lesions.

Ash-leaf hypopigmented areas

Angiofibroma (Adenma Cabeceum)

Shagreen batch

3. Ocular Features
- Retinal Hamartomas (Phakomata): White depigmented patches.
- Retinal achromic patch.
Phakomata of the retina

4. Cardiac Features
- Cardiac Rhabdomyomas: Largest during prenatal life/infancy; rarely symptomatic but may cause arrhythmias. Most common cardiac defect.
5. Renal & Pulmonary Features
- Renal Angiomyolipomas: Most common renal lesion. May undergo malignant transformation; most common cause of death in adults with TSC.
- Multiple Renal Cysts.
- Lymphangioleiomyomatosis (LAM): Interstitial pulmonary disease affecting adults.


Diagnostic Criteria
Definite TSC: 2 Major features OR 1 Major + 2 Minor features. Possible TSC: 1 Major feature OR ≥ 2 Minor features.
Major Clinical Features:
- Hypomelanotic (Ash leaf) spots (≥ 3, > 5 mm)
- Angiofibromas (≥ 3) or fibrous cephalic plaque
- Ungual fibromas (≥ 2)
- Shagreen patch (connective tissue nevus)
- Multiple retinal hamartomas
- Cortical dysplasias (cortical tubers)
- Subependymal nodules
- Subependymal giant cell astrocytoma (SEGA)
- Cardiac rhabdomyoma
- Lymphangioleiomyomatosis (LAM)*
- Angiomyolipomas (≥ 2)*
Minor Clinical Features: 12. “Confetti” skin lesions 13. Dental enamel pits (≥ 3) 14. Intraoral fibromas (≥ 2) 15. Retinal achromic patch 16. Multiple renal cysts 17. Nonrenal hamartomas
Diagnosis & Management
Diagnosis: Based on characteristic lesions, seizures, intellectual deficit, and visceral tumors. Neuroimaging (MRI) demonstrates subependymal-calcified nodules.
Management:
- No specific cure; treatment is symptomatic.
- Multidisciplinary team and close follow-up.
- Seizure Control: Infantile spasms best treated with Vigabatrin.
- FDA Approved Tx: Everolimus.
- Genetic counseling.