Case 1 Z

A 70 years old male presented with a new onset headache and loss of vision for 72 hrs. He also complained of jaw claudication on chewing and talking.

  1. Mention 3 expected features of the temporal artery which may be present in this condition?

    • Weak or absent pulse,
    • artery tenderness or enlarged and
    • beaded appearance of the artery
  2. Mention 1 blood test which you will do during diagnostic work up?

    • ESR
    • CRP
  3. Which imaging technique can be helpful in diagnosis?

    • Doppler US
  4. What will you do for a definitive diagnosis?

    • Temporal artery biopsy
  5. Mention 2 neurological complications of this condition?

    • Anterior ischemic optic neuropathy (blindness) - acute vision loss
    • Diplopia (due to 3rd, 4th, or 6th nerve palsy)
    • New onset Headache
    • Jaw claudication
  6. What is the treatment of this condition?

    • Corticosteroid

Case 2

What’s ur finding ?
Star sign!!

Diagnosis?
Subarachnoid hemorrhage

Case 3

Patient present with slurred speacch and dizziness ?

A) What is the test u will order ? - CT, MRI, CBC, ECG,

B) What is your diagnosis?
- Stroke / TIA

Case 4

Female pregnant has hypertension + protein urea and recently develop seizures

A) Diagnosis??
Eclampsia

B) Treatment??
C/S

Case 5

1- Finding: ptosis both eyes

2- diagnosis: Myasthenia gravis

Case 6

Axial CT scan obtained in a 57-year-old man who presented with left hemiplegia and obtundation.

Name the site of the lesion?
---basal ganglia---

What is commonest cause of this lesion?
---hypertension---

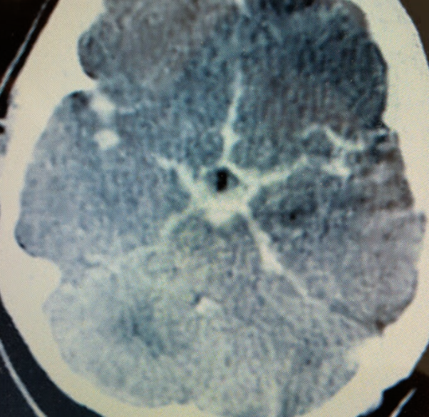
Case 7 Z

Describe 2 abnormal findings of the CT? - a. ---pressure of lf lobe--- - c. ---Hypodense in left lobe---

Name vascular territory involved? - ---medial cerebral artery---

Case 8 Z

  1. Diagnosis: Cluster Headache
  2. Treatment: Oxygen mask - Triptans
  3. Prophylaxis: Lithium

Case 9 Z

20-year-old male. Severe headache, neck stiffness, photophobia & fever X 1 day. On examination, pain on extending the leg, as shown below:

Q1: What’s the clinical diagnosis?  Meningitis

Q2: Name the 2 most common etiologic agents in this age group (names of bacteria)?  Pneumococci, Meningococci

Q3: Which medicine will you give you close contacts of this pt for prophylaxis? Rifampicin | Ceftriaxone in pregnant

Case 10

Patient complains of unilateral headache off & on since 3 months. She also gets nausea and vision problems just before the headache. Clinical diagnosis is migraine.

Q1: Name any 2 medicines used to treat an acute attack of migraine? Selective serotonin receptor, Ergot alkaloids.

Q2: When should you start prophylactic ttt for migraine? When migraine attacks more than 2 per month, when the attack last more than 24 hours.

Q3: Name any 1 medicine which can be used for migraine prophylaxis? Beta blockers, Tricyclic antidepressant.

Case 11

  1. Describe 2 abnormal findings of the CT?
    a. Left hypodense area occupy the left hemisphere (infarction)
    b. Left carinotomy mark

  2. Name vascular territory involved?
    a. Middle cerebral artery

Case 12

A 54-year-old woman presented with a sudden onset thunderclap headache and neck pain for 2 days.

O/E

  • Temperature 37°C.
  • PR 106 beats/min
  • BP 175/106 mm Hg.
  • GCS score 14/15
  • Pupils- 3 mm diameter, with a light reflex.
  • Neck stiffness was ++
  1. What is the abnormality in the image shown?
    a. Blood mixed with CSF filling the subarachnoid space

  2. What is the likely diagnosis?
    a. Subarachnoid hemorrhage

  3. What is the abnormality in the image shown?
    b. Hyper dinse lesion

  4. What is the likely diagnosis?
    a. Meningitis


58 year old man with slurring of speech and progressive difficulty in swallowing
O/E
Weak jaw and facial muscles, limb weakness with both lower and upper motor neuron signs and tongue muscle atrophy.

  1. What investigation is recommended?
    Electromyography (EMG) and nerve conduction studies, genetic testing for specific motor neuron diseases

  2. What is the most likely diagnosis?
    Amyotrophic Lateral Sclerosis (ALS) or Motor Neuron Disease


Z A pregnant lady with headache, vomiting and seizure
A 30 year old lady in her third semester of her third pregnancy was noticed to have increased swelling of her feet on her routine antenatal visit.
A week later she developed severe headache, dizziness, nausea, vomiting and seizure.

Examination

  • showed pitting edema legs
  • BP was 170/110 mm Hg.
  • Urine:
  • RBC +
  • Protein ++++
  1. What is the most likely diagnosis?
    Pre-eclampsia/Eclampsia

  2. What is the treatment of choice?
    Magnesium sulfate for seizure prevention and blood pressure control, and ultimately delivery of the baby