
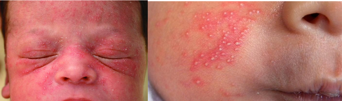
- Yellowish papulovesicular lesions surrounded with irregular surrounding erythema
- May be present at face, trunk, proximal extremities. BUT palm and soles are intact
- Fades within 2-3 weeks
- Sterile pustule will reveal eosinophils.
- Self-limited and requires only reassurance.