Transient Tachypnea of the Newborn (TTN)

TTN is a self-limited disease and common condition in term and late preterm infants. Transient tachypnea of the newborn is the result of a delay in clearance of fetal lung liquid. Common with C-section delivery.

Symptoms

Present within the first few hours of life with:

  • Increased oxygen requirement
  • Tachypnea
  • Nasal flaring
  • Grunting
  • Retractions
  • Cyanosis in extreme cases

Resolves usually within 40 hours after birth. Prolonged course >48 hours or clinical deterioration may suggest other diagnoses.

Risk Factors

  • Prematures (34–36 weeks)
  • Pre-labour cesarean section
  • Delayed cord clamping or cord milking, promoting placental-fetal transfusion, leads to an elevation in the central venous pressure.
  • Macrosomia and multiple gestations
  • Maternal administration of large amounts of IVF or heavy analgesia

Treatment

Supportive as it is self-limited; oxygen (nasal cannula) if needed.

Diagnosis

Clinically, should resolve within 48 hours. If other diagnoses are suspected, investigations include:

  • Full septic workup (antibiotics may be initiated)
  • CBC and differential
  • Regular blood-gas measurements
  • Chest radiography

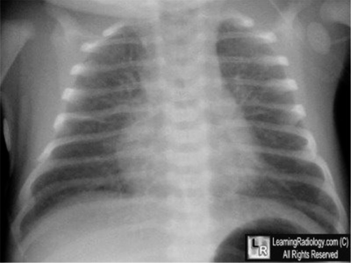
Radiographic Findings

  • Prominent perihilar streaking reflecting fluid in the interstitium
  • Patchy infiltrates
  • Fluids in the horizontal fissure on fifth right costal
  • Hyperinflated lung