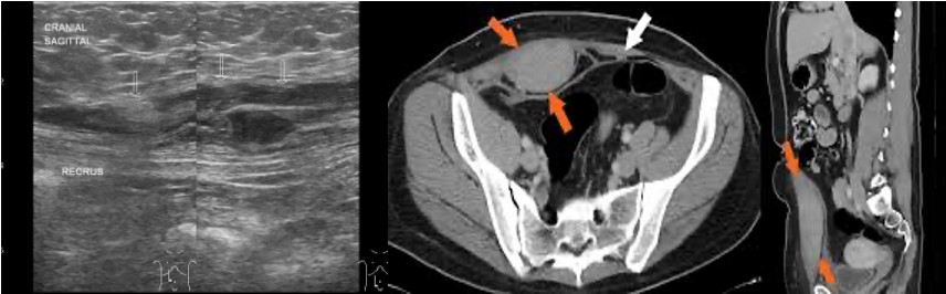
- Aetiology:
- Bleeding from inferior epigastric artery
- Spontaneous (anticoagulation)
- Traumatic (excessive physical activity)
- Presentation: painful, tender swelling- LQ of the abdomen
- Diagnosis: U/S.
- Treatment: Spontaneous resolution/ surgical evacuation.


