-
Primary :
-
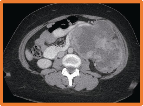
Retroperitoneal Sarcoma-
- Most common
- 15% of soft tissue sarcomas in retroperitoneum
- Asymptomatic abdominal mass
- (Often- considerable size).
- Abdominal pain (50%)
- Uncommon symptoms- GI bleeding, early satiety, nausea, vomiting, wt. loss, lower limb swelling
-
Retroperitoneal Sarcoma-
- CT, MRI
- Lymph node metastases- (rare)
- Treatment:
- Complete en bloc resection of the tumor & involved adjacent organs.
-
-
Secondary:
- Kidney,
- Adrenal,
- Colon,
- Pancreas,
- lymphoma,
- Metastases from a remote primary malignancy
