SURGERY

illeoilleal peyers patches enlarged could due in pedia red current jelly stool

illeocecal in adults - polyps & tumour





IMAGING

Intussusception occurs when a proximal part of the bowel invaginates into a distal part, leading to a mechanical obstruction and bowel ischemia.

  • Infants aged 3–12 months are most commonly affected.

  • Affected infants are typically present with acute cyclical abdominal pain, knees drawn to the chest, and vomiting (initially nonbilious).

  • A late-onset symptom is “currant jelly” stool (stool with blood and mucus.

Imaging Procedures

Abdominal ultrasound (best initial test): often sufficient to confirm diagnosis  

  • Target sign : The invaginated portion of bowel appears as rings on a target on ultrasound. 
  • Pseudokidney sign: This “pseudokidney” is made up of longitudinal layers of bowel wall.

Contrast or pneumatic enema using ultrasound or fluoroscopy

  • Interruption of contrast or air at the site of invagination.
  • Pneumatic insufflation (air enema): z air is injected into the intestines to create pressure. is the best confirmatory diagnostic test and nonoperative method.   Abdominal x-ray  -Inhomogeneous distribution of gas with absence of air at the site of invagination.

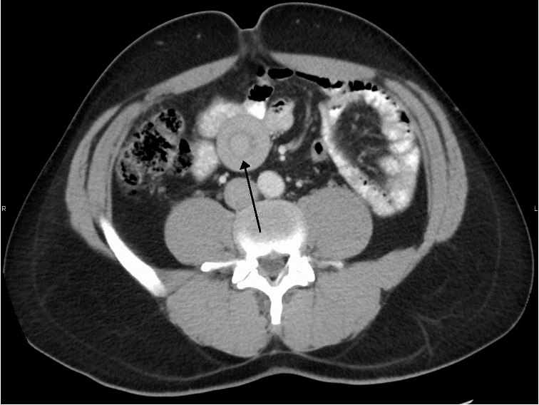
Abdominal CT: Perform if ultrasound and abdominal x-ray are inconclusive.


Colosigmoidal intussusception in a 4-year-old girl Contrast enema; lateral view Rectum and lower sigmoid are filled with contrast (dark); sudden interruption of contrast in the upper sigmoid (green area).

  • S = spine
  • LE = lower extremity

Target sign in intussusception Ultrasound abdomen (bowel; transverse plane) Concentric alternating hyperechoic and hypoechoic rings are visible. The hyperechoic rings (green overlay) are formed by mucosa and the hypoechoic rings (red overlay) by submucosa. Together the alternating layers produce a target-like appearance (target sign; bull’s eye sign).