SURG

Spleen

  • Aetiology: Blunt/ Penetrating injury

  • Blunt trauma: most frequently injured organ

  • Injury to left side- chest, flank, or abdomen

  • Left lower chest & upper abdomen:

    • Pain, Bruising, Tenderness
  • Diagnosis:

    • FAST - unstable patients
    • FAST + CT-stable patients
  • American Association for the Surgery of Trauma (AAST) splenic injury scale

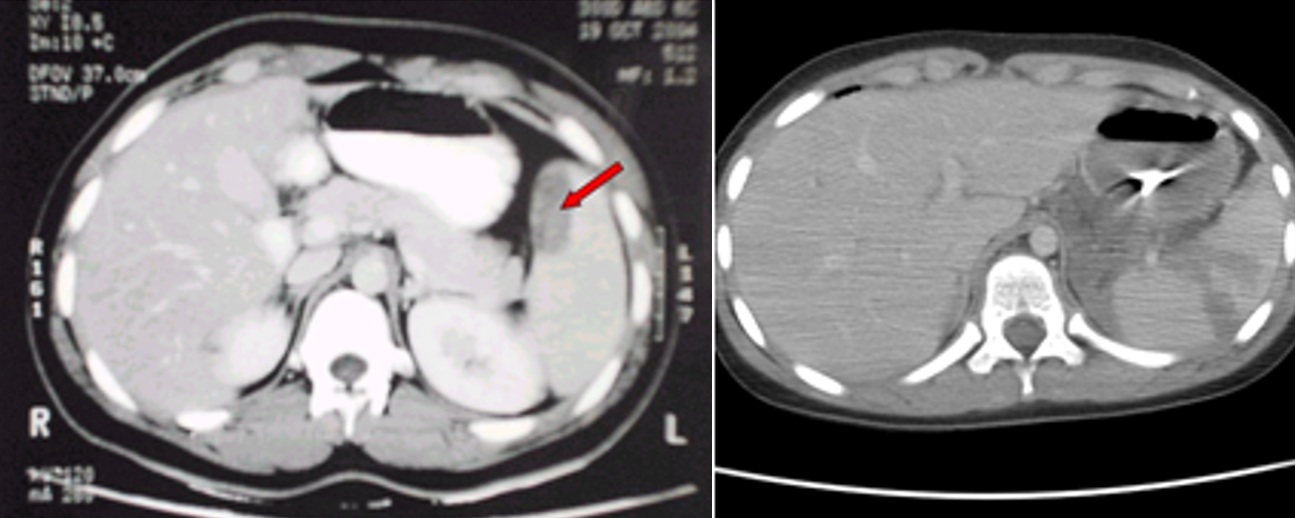
Trauma

Splenic injury

  • Most frequently injured organ in blunt trauma
  • History of injury to the left side of the chest, flank, or left upper part of the abdomen
  • Bruising, pain tenderness- lower chest and upper abdomen on left side
  • Diagnosis: - Z - CT in hemodynamically -stable patients
    - FAST or exploratory laparotomy in an unstable patients

(Image: Splenic injury (CT scan))

Splenic injury: I-Non-surgical management (70%)

  • Hemodynamically stable.
  • FAST, CT scan.
  • No other intra-abdominal injury requiring operation
  • ICU admission for continuous monitoring.
  • Serial hemoglobin.
  • Repeated abdominal assessment.
  • If hypotension develops - for surgery.

Splenic injury: II- Surgical management

  • Hemodynamically unstable
  • FAST: splenic injury, free fluid (hemoperitoneum)
  • Surgery- splenectomy
  • Polyvalent pneumococcal vaccine (pneumovax)