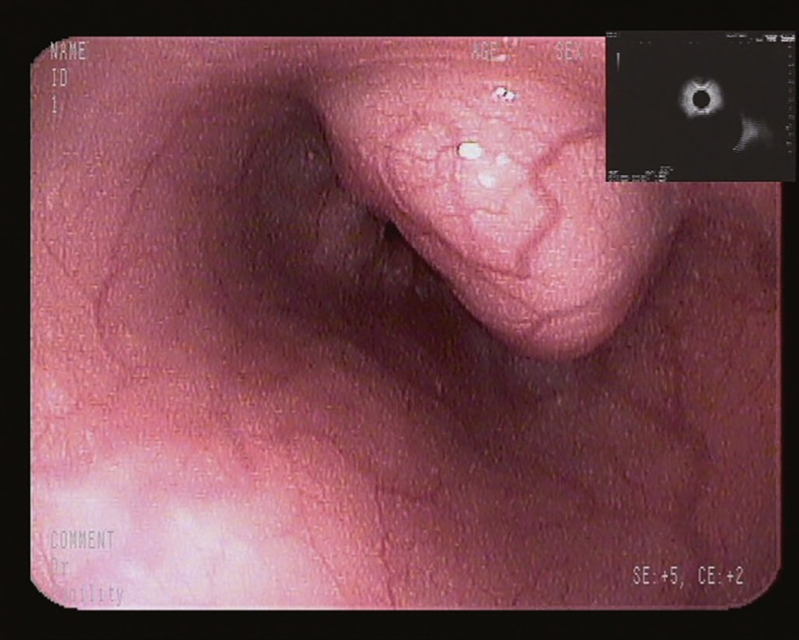
Stomach & Duodenum

Gastrointestinal stromal tumors GIST

  • Initially thought to arise from smooth muscle cell, thus classified as leiomyomas or leiomyosarcomas.

  • Arise from mesenchymal components

  • 2% of all gastric malignancies.

  • Most frequently located in the stomach (60%-70%).

  • Mean age of 60 years at diagnosis.

  • Malignancy is also associated with tumors greater than 5 cm in size, cellular atypia, necrosis, or local invasion.

  • The most common presentations of gastric GISTs are GI bleeding, pain or dyspepsia.

Diagnosis:

  • Endoscopy may be the first diagnostic test
  • Endoscopic biopsy is diagnostic in about half of cases.
  • CT
  • The goal of surgery is a margin-negative resection

Small Bowel

Gastrointestinal stromal tumors GIST

Account for less than 1% of GI tumors. GISTs are usually found in:

  • Stomach(50-60%) , Small intestine (20-30%), Anywhere along the GI tract
  • Pathologists have shifted from designations such as leiomyoma or leiomyosarcoma to the term stromal tumors (i.e., GISTs).

  • Benign GISTs are 3-4 times more common than malignant GISTs.

  • Malignant GISTs has high local recurrence and metastasis

  • The incidence is equal in men and in women,

  • Most frequently diagnosed in the fifth decade of life.

  • These tumors may grow intramurally and cause obstruction.

  • Vague, nonspecific abdominal pain or discomfort (most common)
  • Bleeding is the most common indication for surgery in patients with benign GIST tumors.
  • Surgical resection is necessary for appropriate treatment. Neoadjuvant vs adjuvant chemotherapy