🩺 MedAtlax
Search
Search
Dark mode
Light mode
Reader mode
Explorer
Home
❯
Clinical
❯
Level 9 12
❯
Surgery
❯
Gastrointestinal Surgery
❯
Stomach & duodenum
❯
Hiatus Hernia
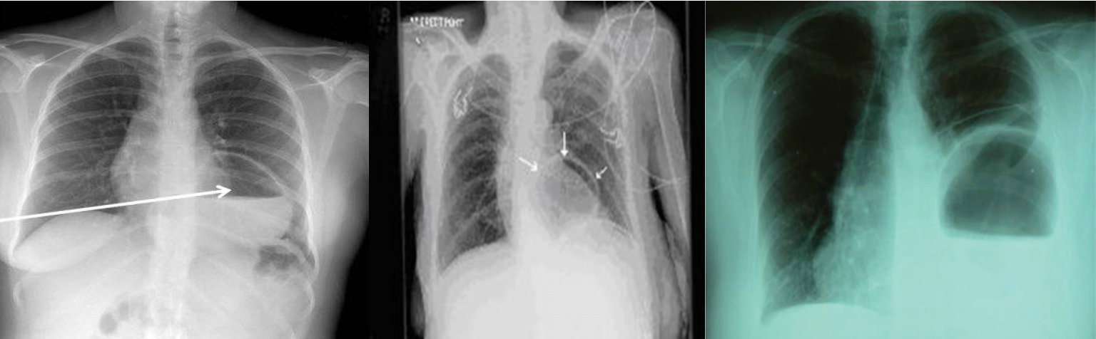
Hiatus Hernia
Jan 20, 2026
1 min read
urinary??
Graph View