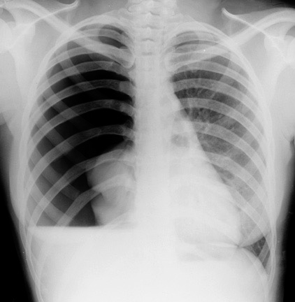
Tension pneumothorax

  • Traumatic punctured lung wound acts as a one-way valve.
  • Each inhalation- additional air accumulate in pleural space.
  • Normal negative intrapleural pressure becomes positive.
  • Depressing the ipsilateral hemidiaphragm.
  • Pushing mediastinal structures to other side.
  • Compressing contralateral lung.
  • Heart rotated about the superior and inferior vena cava
  • Venous return and cardiac output decreased.
  • Distending the neck veins.

Clinical features

  • Tachypnoea, tachycardia, use of accessory muscles
  • Asymmetrical chest wall movement
  • Hyper resonance on percussion
  • Absent or decreased breath sounds
  • Distended neck veins
  • Systemic hypotension
  • Subcutaneous emphysema
  • Tracheal deviation away from the affected side
  • Treatment: x-ray confirmation not required
    • Wide bore needle in 2nd intercostal space, mid-clavicular line
    • ideally Chest tube in 5th intercostal space, anterior axillary line

(Image: Tension pneumothorax Needle decompression Intercostal tube)