Urticaria & Angioedema CS-OSPE
Case: Urticaria (hives)
- What is the diagnosis/most likely diagnosis?
- Urticaria
- Acute Urticaria (In cases like seafood allergy or duration less than 6 weeks)
- Chronic Urticaria (If history specifies duration ≥ 6 weeks)
- Angioedema (If swelling in soft tissue like lip is primary feature)
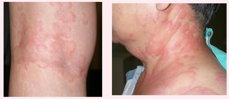
Description & Primary Lesion:
- What is the primary lesion, and how would you describe it? The primary lesion seen is Wheals, which are sudden-onset, raised, red, and swollen patches on the skin. They are typically itchy, and may also be painful or burning. They are described as erythematous plaque, irregular, well demarcated, raised. The lesions are transient, appearing over the course of minutes, enlarging, and then resolving within hours (wheals rarely last beyond 12 hours), with some areas resolving while new ones appear. Wheals are often surrounded by a red halo or flare (area of erythema).
Classifications:
- What are the general classifications of this disease?
- Acute Urticaria: Defined by the presence of wheals for less than 6 weeks.
- Chronic Urticaria: Defined by the presence of wheals for 6 weeks or longer.
- Physical Urticaria: A subtype of chronic urticaria where wheals are triggered by specific physical stimuli.
Pathophysiology: Z
- Complete the sentence about the pathophysiology / Regarding the pathophysiology underlying this disease, fill the gaps: The pathophysiology often involves mast cells, which, when sensitized by IgE, degranulate upon allergen exposure. This mast cell activation leads to the release of histamine (H1), which is the primary mediator of the urticarial reaction. This histamine release by stimulated mast cell causes edema and itching, and can also lead to vasoconstriction and arterodilation. In some cases, the exact pharmacologic mechanism may be unknown.
Differential Diagnoses:
- Angioedema
- Bullous pemphigoid
- Drug eruption
- Erythema multiforme
Confirmatory Tests/Investigations:
- What investigation can be used to confirm diagnosis?
- Skin Prick test (especially for Acute Urticaria and to identify potential triggers)
- Dermatographism (for Physical Urticaria)
- Allergic test
- Autologous Serum skin test (for some Chronic Urticaria subtypes)
- Laboratory tests (to identify potential triggers or rule out systemic causes)
Management & Treatment:
- Outline the management / The treatment for this case:
- General Approach:
- Obtain a full history and perform a thorough examination.
- Provide education to the patient about the condition.
- Consider allergy testing (e.g., Skin prick testing and Laboratory tests) in specific patients to identify potential triggers.
- First-line Treatment:
- Oral antihistamines (H1 antihistamines).
- Examples include first-generation H1 antihistamines like Hydroxyzine and second-generation H1 antihistamines like Loratadine. (Second-generation antihistamines are often preferred, especially if the patient is a worker, due to less sedation).
- Oral antihistamines (H1 antihistamines).
- Additional Treatment:
- Topical corticosteroids (if needed).
- Biopsy is only considered in specific situations.
When should a biopsy be considered? / Three situations that skin biopsy should be taken:
- If individual lesions persist beyond 48 hours.
- If the wheals are painful (rather than itchy), purpuric, or ulcerated, suggesting urticarial vasculitis.
- If lesions leave pigmentation (hyper or hypo) upon resolution.
- If there is a lack of response to antihistamines (failure of treatment).
- If systemic symptoms (e.g., fever, weight loss) are present, to rule out underlying systemic disease.
Common Causes & History Questions
-
What is the most common cause of this condition?
- Idiopathic (unknown cause, especially for chronic urticaria)
-
What are the most important questions you have to ask?
- Pain, difficulty of breathing, any medications, systemic illness
- Duration of lesions/condition
- Specific triggers (foods, drugs, physical stimuli, stress)
Case Examples and Specific Scenarios
A 38-year-old man / Ahmed was brought by his friends to the ER after a dinner in a seafood restaurant where he ate seafoods/different dishes of fishes and shellfishes; he suddenly developed those severe itchy lesions/generalized itchy, erythematous, plaques scattered all over the trunk. His vital signs were stable (pulse was 74/minute, BP was 123/69, RR 15/minute). Lesions are migratory, lasting for less than 5 hours. No systemic symptoms.
Urticaria (Seafood Allergy Case)
A 14 Y/O girl with 4 months history of intermittent pruritic skin lesions on back, chest, arms and legs. Lesions are migratory, lasting for less than 5 hours. No systemic symptoms.
Chronic Urticaria Case

Angioedema
- What is the diagnosis?
- Angioedema (swelling in soft tissue: lip) / Anaphylaxis.
- What is the most common possible associated condition?
- Urticaria.
- Pathology/Causes:
- The mast cell responsible for immediate-type I hypersensitivity reactions in the skin.
- Drug eruption: ACEI, Prostaglandin.
- What are the common symptoms associated with?
- Hoarseness of voice, shortness of breath, painful swelling.
- What is most serious complication may be associated with this condition?
- Laryngeal edema.
- What is the treatment?
- Epinephrine/adrenaline.
- Anti-histamine.





