Epidermis: Types of Cells
- Three main types make up the epidermis:
- Keratinocytes
- Melanocytes
- Langerhans cells
no blood vessels, oxygen and nutrients, urea from diffusion if vascularization happen due to some diseases
thickness is constant anywhere in body
1. Keratinocytes
- Keratinocytes make up the majority of cells (95%).
- Keratinocytes are held together by macromolecular structures that look like stripes (or spines) between cells, called desmosomes (primarily visible in the spinous layer).

2. Melanocytes
-
The second type of cell which makes up the epidermis is the melanocyte.
-
Melanocytes are staggered along the basal layer at around one in every 10 keratinocytes.
-
They are the pigment-producing cells, and transfer their pigment, called melanin, to the keratinocytes in the basal cell layer.

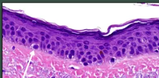
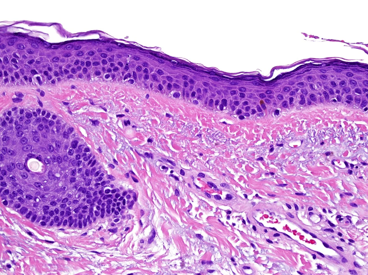
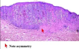
Nevi and Melanoma
- Melanocytic nevi, or moles, are benign collections of melanocytes.
- Melanoma, shown below, is a malignancy of melanocytes.

3. Langerhans Cells
- Langerhans cells are the third type of epidermal cells:
- They are dendritic cells found in the mid-epidermis.
- Their main function is in the afferent limb of the immune response by providing for the recognition, processing, and presentation of antigens to sensitized T-lymphocytes, and are important in the induction of delayed-type hypersensitivity.
- A common skin disease in which Langerhans cells play a prominent role is allergic contact dermatitis, such as poison oak.

Langerhans Cells
Langerhans cells are a type of immune cell found in the skin. They are part of the body’s immune system and play a crucial role in detecting and responding to pathogens, such as bacteria, viruses, and fungi. These cells are named after the Austrian physician Paul Langerhans, who first described them in 1868.
- Antigen presentation: Langerhans cells capture antigens from the skin and present them to T cells, activating the adaptive immune response.
- Immune surveillance: They continuously patrol the skin, monitoring for the presence of foreign invaders.
- Cytokine production: Langerhans cells produce cytokines, which are signaling molecules that help regulate the immune response.
