Mastoiditis
- Definition: Inflammation of the mucosal lining of the antrum and mastoid air cell system.
Acute Mastoiditis
- Pathology:
- Production of pus under tension
- Hyperaemic decalcification
- Osteoclastic resorption of bony walls
Symptoms
- Earache
- Fever
- Ear discharge
Signs
- Mastoid tenderness
- Sagging of posterosuperior meatal wall
- TM perforation
- Swelling over mastoid
- Hearing loss

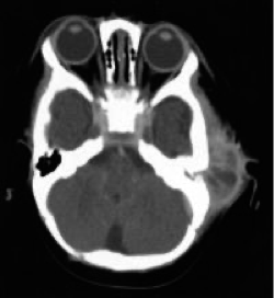
Investigation mastoid abcess
- CT scan of temporal bones
- Ear swab for culture and sensitivity
OSPE

Treatment Z
- Medical treatment:
- Hospitalization
- Antibiotics
- Analgesics
- Surgical treatment:
- Myringotomy
- Cortical mastoidectomy