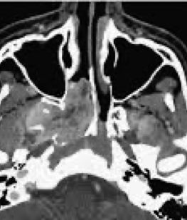
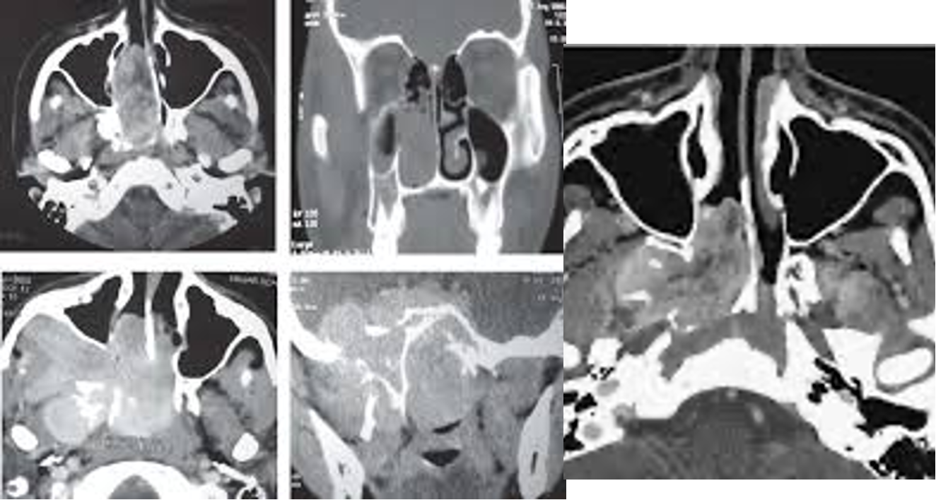
• Pathology: A very vascular fibroma arising from the periosteum of the roof of the nasopharynx. It tends to bleed because there is no muscle coating its vessels. Occurs in young males below the age of 18 years and only in males in adolescent age.

Behavior and Spread

  • Forward: Nasal cavity
  • Laterally: Pterygopalatine fossa
  • Forward and Laterally: Orbit through inferior orbital fissure
  • Upward: Cranial cavity
  • Downwards: Oropharynx

Symptoms

  1. Nasal:
    • Nasal obstruction.
    • Recurrent severe epistaxis.
  2. Aural:
    • Conductive deafness due to Eustachian obstruction.

Signs

  1. A smooth, lobulated, firm, easily bleeding mass:
    • Seen in the nose.
    • Depresses the palate and appears behind it.
  2. Extension causes:
    • Widening of the nasal bones.
    • Proptosis and frog-face deformity.
    • Swelling of the cheek and zygoma.

Investigation

  • Imaging: CT and MRI
  • Angiography: Carotid angiography and MR angiography show feeding vessel of the tumor and allow preoperative embolization to minimize intraoperative bleeding.
  • Biopsy: Not recommended except in an operative room with facilities to control bleeding.

Treatment

  • Pre-operative: Embolization to decrease operative bleeding.
  • Surgical: Removal through combined Moure’s lateral rhinotomy and trans palatal approach.