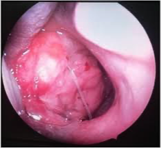
Symptoms: Mass or ulcer seen by posterior rhinoscopy, neck mass, serous otitis media.
- Squamous cell carcinoma, lymphoepithelioma and sarcoma (rare)
- Usually in elderly males. Common in East country.
Symptoms
Nose
- a. Obstruction.
- b. Nasal discharge.
- c. Epistaxis.
Ear: Trotter’s triad: a. Conductive hearing loss. b. Earache. c. Palatal paralysis.
Signs:
Mass or ulcer seen by posterior rhinoscopy.
- Neck mass
- Serous otitis media

Investigation:
1-CT and MRI 2-Biobsy confirms diagnosis 3-Metastatic work up chest x ray brain CT bone scan and abdominal ultrasound.
Treatment:
- radiation