Pediatrics
Definition and Etiology
Croup is the inflammation of the larynx and trachea, typically seen in children 6 months to 3 years of age. It is usually a mild and self-limited illness.
Causes:
- Parainfluenza virus type I (most common).
- Other infectious causes: Adenovirus, RSV, Enterovirus, Human bocavirus, Coronavirus, Rhinovirus, Echovirus, Reovirus, Metapneumovirus, Influenza A and B.
- Rarer causes: Measles virus, herpes simplex virus, varicella.
Clinical Presentation
- Onset: Usually gradual, beginning with nasal irritation, congestion, and coryza.
- Progression: Symptoms generally progress over 12 to 48 hours.
- Hallmark Signs: Fever, hoarseness, barking cough, and inspiratory stridor.
- Severity: Respiratory distress increases as upper airway obstruction becomes more severe.
Differential Features
| Point in History | Suggests Croup | Suggests Other Cause |
|---|---|---|
| Absence of fever | - | Spasmodic Croup or Noninfectious etiology (e.g., FBA) |
| Absence of Hoarseness/Barking Cough | - | Acute Epiglottitis, FBA, or Angioneurotic edema |
| Difficult Swallowing / Drooling | Rare | Acute Epiglottitis, FBA, Peritonsillar/Retropharyngeal abscesses |
| Throat pain and Dysphagia | Rare | Common in Epiglottitis |
Assessment of Severity (Westley Croup Score)
| Feature | Score 0 | Score 1 | Score 2 | Score 3 | Score 4 | Score 5 |
|---|---|---|---|---|---|---|
| Level of Consciousness | Normal | - | - | - | - | Disoriented (-5) |
| Cyanosis | None | - | - | - | With agitation | At rest |
| Stridor | None | With agitation | At rest | - | - | - |
| Air Entry | Normal | Decreased | Markedly dec. | - | - | - |
| Retractions | None | Mild | Moderate | Severe | - | - |
Severity Levels:
- Mild Croup (Score ≤ 2): Barking cough and hoarse cry, but no stridor at rest.
- Moderate Croup (Score 3–7): Stridor at rest and mild retractions.
- Severe Croup (Score ≥ 8): Significant stridor at rest, decreased air entry, severe retractions, and the child is anxious, agitated, or fatigued (Cyanosis may be present).
Diagnosis
- Clinical Diagnosis: Based on the presence of a barking cough and stridor.
- Necessity: Neither radiographs nor laboratory tests are necessary for diagnosis.
- Radiographs: May be helpful in excluding other causes.
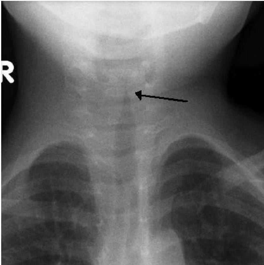
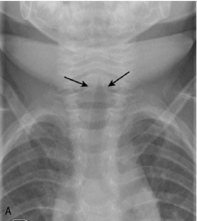
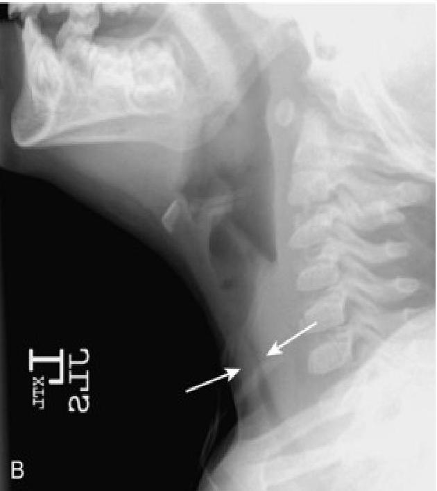
- The “Steeple Sign”: Characteristic subglottic narrowing seen on X-ray.



Treatment of Croup
Mild Symptoms
- Managed at home.
- Single dose of oral dexamethasone (0.6 mg/kg).
Moderate to Severe Symptoms
- Supportive care: Humidified air or oxygen, intravenous fluids.
- Nebulized Racemic Epinephrine: 0.05 mL/kg per dose (maximum of 0.5 mL) of a 2.25% in 3 mL of NS over 15 min.
- Nebulized Epinephrine (1:1000): 0.5 mL/kg per dose (maximum of 5 mL). Can be repeated every 15 to 20 min.
- Dexamethasone: 0.6 mg/kg (oral or IV).
- Observation: Observed for three to four hours after intervention to monitor for worsening respiratory distress.
Summary of Differential Diagnosis
- Croup
- Bacterial tracheitis
- Peritonsillar or retropharyngeal infection
- Foreign bodies
- Angioedema (anaphylaxis or hereditary)
- Congenital anomalies, laryngeal papilloma
- Diphtheria
- Uvulitis
- Other causes of epiglottic enlargement: Trauma or thermal injury.
ENT
Croup (Laryngotracheobronchitis)
- Primarily involves the subglottic area
- Parainfluenza 1-3
- 1-5 years
- Symptoms:
- Biphasic stridor, fever, brassy cough, hoarseness, no dysphagia
- Diagnosis:
- X-ray, steeple sign
- Treatment:
- Humidified oxygen, racemic epinephrine, steroid
