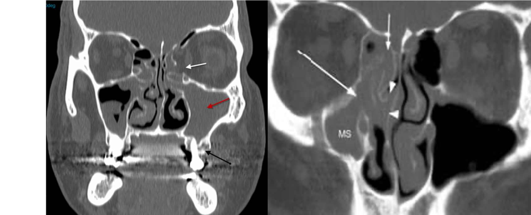
Chronic Rhinosinusitis

#ospe involved maxillary, ethmoid

Fungal sinusitis

heterogenous color, differences is fungal management is conservative; nasal spray, irrigation - no antifungals

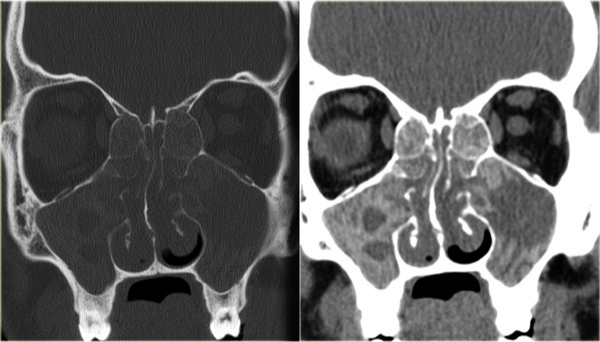
Z OSPE