Investigation of Nasal Diseases
- Endoscopy
- Rhinometry
- Measurement of olfaction
- Skin allergy test
- Mucociliary clearance tests
- Imaging
Endoscopy

Rhinometry
Objective measurement of the nasal resistance or the flow of air in the nasal cavities

Measurement of Olfaction
- Identification tests
- Threshold detection tests
Skin Allergy Test

Ultrastructure of The Cilia

X-Rays Nasal Bones

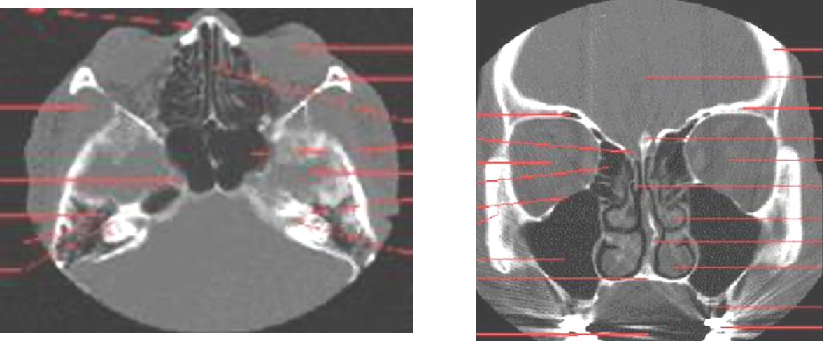
Imaging of The Paranasal Sinuses
- Plain X-Rays - Done in suspected fractures
- CT scan - gold standard
- MRI
CT Paranasal Sinuses
- Axial
- Coronal



MRI
Tumor, infections, pain - not in first line such CT scan
