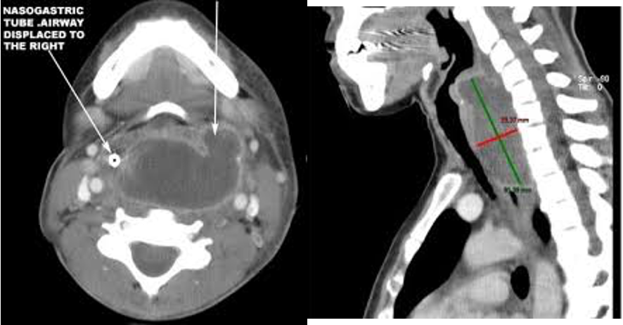
More common in children - progressive pharyngitis S.aureus ,Haemophilus , group A beta haemolytic sterptococcus , bacteroides
SSX:
fever, cervical adenopathy stridor ,torticollis, drooling
- Odynophagia
- hot potato voice
- Drooling
- stiff neck
- fever
- stridor
Complication
- mediastnitis
- respiratry distress
- rupture abscess
Treatment:
- Transoral incision and drainge
- IV ABX
- INTUBATION
- Tracheotomy
