Types of Fractures
-
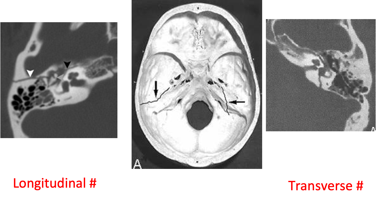
Longitudinal fracture - 70%: Conductive hearing loss (rupture drum, hemotympanum or ossicular disruption) - Facial nerve paresis is not common
-
Transverse fracture - 20%: SNHL & vertigo (Labyrinthine injury) - Facial nerve paralysis is common

Manifestations
- Battle sign
- TM perforation
- Hemotympanum
- CSF otorrhea or rhinorrhea
- Ossicular disruption
- SNHL
- Vertigo
- Facial nerve paralysis

Battle Sign
#Z