Sideroblastic Anemia

  • Disorder in the synthesis of hemoglobin characterized by trapped iron in the mitochondria of nucleated RBCs.
    • Hereditary form: defect in aminolaevulinic acid synthase or an abnormality in vitamin B6 metabolism.
    • The acquired form: drugs such as chloramphenicol, isoniazid, or alcohol. Z
  • No specific finding that will be sufficiently suggestive of sideroblastic anemia.

Elevated Serum Ferritin

  • Elevated serum ferritin
  • Very high transferrin saturation, and very low TIBC
  • High serum iron (the only microcytic anemia with elevated iron)
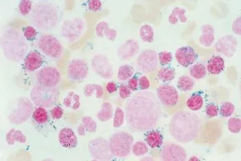
  • Prussian blue stain (most specific test) of RBCs in the marrow will reveal the ringed sideroblasts.
  • Treatment: Remove the offending drug. Consider transfusion for serious cases.

Ring sideroblast Z OSPE