
Incipient Cataract
Cause:
Opacity of the lens due to disturbance Influx of water, leading to protein degeneration and cell apoptosis
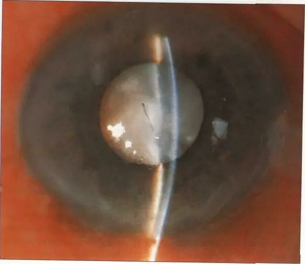
Immature cat

Intumescent cat


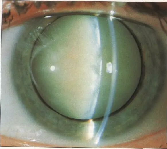
Mature cat




Senile cortical Cat: Mature cat & Hypermature cat
- Patient Presentation: 55 y/o patient presents with eye opacity.
- Diagnosis: Immature senile cataract
- Management: Phaco + IOL
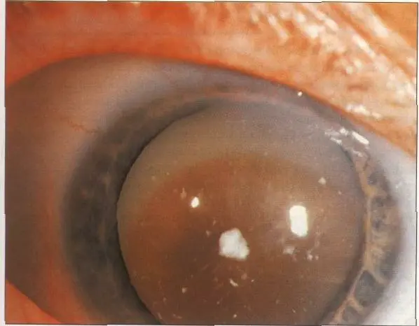
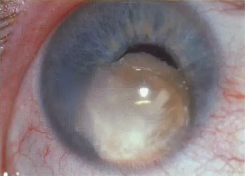
Hypermature cat (morgagnian)

Posterior subcapsular cat
Early nuclear cat

Dense nuclear cat , Dense nuclear cat (Brunescent)
Complicated cat (ant uveitis) Y

Acquired Cataract: Complicated cat (ant uveitis) Y

Complicated cat( glaukomflecken) Y


1- Subluxation (aphakia) - marfans syndrome 4- rosette shape in blunt truama


Traumatic: Penetrating trauma

Traumatic: Blunt trauma (flower-shaped & vossius ring)
Cause:
- Blunt Truama
Type:
- flower-shaped:
- vossius ring: iris pigment of anterior capsule of lens

Left traumatic cataract
Zonular dehiscence:
can allow the lens to move anteriorly, posteriorly, or laterally, depending on the location and extent of zonular fiber loss.
Subluxated lens Cause: Marfan syndrome
Subluxation of the lens:
the lens remains in its normal position behind the iris.

| Feature | Zonular Dehiscence | Lens Subluxation |
|---|---|---|
| Definition | Focal rupture or loss of continuity in one or more zonular fibers, often localized. | Partial displacement (up to 50%) of the lens from its normal position due to generalized zonular weakness or break. |
| Pathophysiology | Localized zonular break → segment of lens edge unsupported → phacodonesis in that sector. | Diffuse zonular compromise → lens tilts or shifts but remains partially within the pupillary space. |
| Etiologies | • Trauma (blunt/sharp) |

Glasses for hypermetropia & Aphakia type convex lens eyes appear large
Myopia with concave lens


PCO (posterior capsule opacification)
Had a cataract operation years ago, now presenting with visual symptoms
Treatment: YAG laser capsulotomy/Posterior Capsulotomy

PCIOL implant
Posterior chamber IOL
(best)

ACIOL implant

Intraocular lens (IOL) - Posterior chamber intraocular lens
- Uses:
- For refractive surgery
- Cataract surgery
The essential investigation in this lesion is:
CT scan
Aphakia Y
