
Standard Illuminated E Chart

3 mirror contact lens
Uses: exam retina & visualization of the angle (Gonioscopy) (post exam retina? anterior?)

Ocular Pentacam Tomography
used for before any refractive corneal surgery

Ocular coherent tomography (OCT)
What is it used in diagnosis of? Macular diseases, glaucoma non invasive technique
OCT Angio oct; visualizes vessels

Snellen Eye Chart

Landolt-C Eye Chart
1,2,3 measurement for far vision

Eye Chart Projector

Visual Chart for Near
Assess near vision

Ishihara Color Cards
Assess color vision & color blindness



Slit Lamp Biomicroscopy
Uses: for examination of the eye specially anterior segment


Eye Speculum
Use: Seperation of low eye lid for operation

Cilia Forceps
Removal of eye lash - stye

Chalazion Forceps
in Chalazoin operation

Lacrimal Probes
use: Lacrimal probing Used for Lacrimal system obstruction

Intraocular Lenses
used for after cataract operation or refractive errors - site:L posterior capsule

Exophthalmometer
Use: Measure the degree of proptosis, diagnosis or management of protiosis degree

Ocular Ultrasound
used for - for assessment posterior segment - its whats posterior lens espicially in opaque media;
opacity - cataract

Automated Perimetry
Used for: visual field assessment in glaucoma & neurological disorders Write 2 uses of this device: 1. Glaucoma 2. Neurological diseases

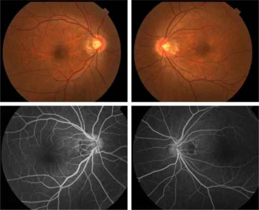
Fluorescein Angiography
Use: all retinal disease specially vascular

Retinoscopy
write the use of it ?
- Use for refraction


Direct Ophthalmoscope
Use: Exam retina and optic nerve



Indirect Ophthalmoscope
Exam of retina and optic nerve, specialy the periphery - inverted
- Indirect Ophthalmoscopy
- Inverted, lower mag, wider field, must accommodate

Phoropter
- Can measure refractive error to determine an individual’s spectacle lens
- prescription during an eye examination
Eye exercise Y


Asmler Grid Chart
Uses: Diagnosis of macular diseases such as Diabetic Maculopathy

Hard Contact Lens
Treatment of keratoconus - irregular astegmatism

- Shotiz tonometry


- Goldmann applanation tonometry Mention its use: Intraocular pressure measurement

- Perkin tonometry
Air Puff
Tonopen

