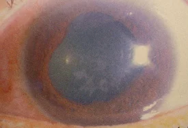
Complicated Cataract
- Caused by other eye diseases (local causes)
- Corneal ulcer
- Glaucoma
- Uveitis
- Retinal detachment
- Retinitis pigmentosa
- Intraocular tumor
- Myopia
Kinds of Complicated Cataract
- Old anterior uveitis Complicated cataract
- Pigmentosa eye
- Silicon oil eye
- Glaucoma Complicated cataract (vogt)
In order for images


Complicated Cataract

-
Ocular diseases
- Inflammation
- Keratitis
- Uveitis
- Myopia & RD
- ACG & absolute G
- RP
- IO tumors
- Inflammation
-
Systemic diseases
- Metabolic
- DM & hypocalcemia
- Galactosemia
- Mongolism
- Myotonia
- Skin dis
- Toxic
- Metabolic
Clinical Findings
- Primary disease changes
- Cataract
Treatment
- Treat the primary disease.
- Do the surgery after inflammation control
