Treatment of Glaucoma
General Treatment Options for Glaucoma
The goal of glaucoma treatment is to reduce the pressure before it causes glaucomatous loss of vision.
- Medical therapy
- Laser therapy
- Surgical therapy

Treatment of POAG
Glaucoma medications decrease intraocular pressure by
- Decreasing aqueous production
- or
- Increasing outflow.
Topical Beta Blockers
Nonselective
- Timolol (Timoptic, Betimol, Istalol)
- Levobunolol (Betagan)
- Carteolol
- Metipranolol (OptiPranolol)
Selective beta-1 blocker
- Betaxolol (Betoptic-S)
Topical Beta Blockers: Potential Side Effects
- Congestive heart failure
- Bronchospasm
- Bradycardia
- Depression, confusion
- Impotence
- Worsening of myasthenia gravis
Treatment of POAG

Topical Adrenergic Agonists
- Epinephrine (Epifrin)
- Dipivefrin (Propine)
- Alpha-2 agonists
- Apraclonidine (Iopidine)
- Brimonidine (Alphagan-P)
- Combination brimonidine and beta-blocker (Combigan)
Topical Adrenergic Agonists

Topical Adrenergic Agonists: Possible Side Effects
Systemic
- Decreased BP
- Drowsiness
- Fatigue
- Dry mouth
Ocular
- Burning on instillation
- Conjunctival injection
- Pupillary dilation
- Allergic or toxic reactions
Topical Cholinergic Agonists
Short-acting
- Pilocarpine (drops and gel)
- Carbachol
Long-acting
- Echothiophate iodide (Phospholine Iodide; limited availability)
Topical Cholinergic Agonists: Side Effects
Systemic
- Increased bronchial secretion
- Nausea, vomiting
- Diarrhea
- Apnea**
Ocular
- Increased myopia
- (RD)
- Eye or brow pain
- Decreased vision
With acetylcholinesterase inhibitors after succinylcholine administration

Carbonic Anhydrase Inhibitors
Oral
- Acetazolamide (Diamox)
- Methazolamide (Neptazane)
- Dichlorphenamide (Daranide)
Topical
- Dorzolamide (Trusopt)
- Brinzolamide (Azopt)
Carbonic Anhydrase Inhibitors: Side Effects
- Malaise, anorexia, depression, paresthesias
- Serum electrolyte abnormalities
- Renal calculi
- Blood dyscrasias


Prostaglandin Analogs: Side Effects
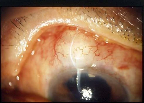
- Conjunctival hyperemia
- +Iris pigmentation
- Eyelash growth
- Periocular skin pigmentation
Use with caution in patients with cystoid macular edema and history of uveitis.

Inhibiting Systemic Absorption of Eye Drops by Occluding Lacrimal Puncta

Argon Laser Trabeculoplasty

Glaucoma: Surgical Procedures
- Filtering surgery (trabeculectomy)
- Drainage implant surgery
- Cyclophotocoagulation
Filtering Surgery
Treatment of POAG

Filtering Surgery
-
bleb
-
aqueous exits eye
-
drainage site
-
hole in iris

Ahmed Glaucoma Valve

Drainage Implant

Diode Laser Cyclophotocoagulation

Glaucoma can be controlled but not cured!
Potential neuroprotective agents
- Protect ganglion cells from apoptosis
- Glutamate blockers