Retinal Detachment
in myopic p.t.
Symptoms
- Flashes, floaters, a curtain or shadow moving over the field of vision
- Peripheral and/or central visual loss

Retinal Detachment (RD)
Central → loss of vision RD in prephral → visual field defect RD 6/6
Types
- Rhegmatogenous RD
- Traction RD - DM
- Exudative RD
Symptoms
-
Flashes → Prodromal
-
Floaters → Prodromal
- Visual Field (VF) loss – curtain-like
- Sudden, painless loss of vision
RD → Vitreous Hemorrhage

- Superior RD
- الشبكية
- العلوية
- المنفصلة
- Interior Visual Field Defect

Risk Factors
- Peripheral Retinal Degenerations
- e.g. lattice degeneration, retinal tufts…etc.
- High Myopia
- Aphakia
- Trauma
- History of RD history of RD of other eye or family
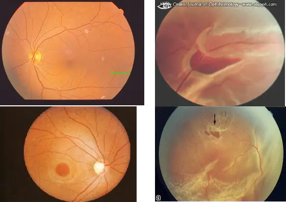
Retinal Detachment
-
Retinal detachment denotes separation of the sensory retina from the underlying RPE
-
There are three main types:
- Rhegmatogenous
- Traction
- Exudative
Rhegmatogenous Retinal Detachment Formation
- Clinical manifestation:
- Flashes of light, floaters, a curtain or shadow moving over the field of vision, peripheral and/or central visual loss.
- Normal IOP, then low IOP
- Elevation of the retina and a flap tear or break in the retina
Treatment ospe
without detachment argon laser
- Close the tears: by photocoagulation, condensation, electric coagulation
- Scleral buckling: retinopexy
- Vitrectomy
