Ophthalmology UNIMAS

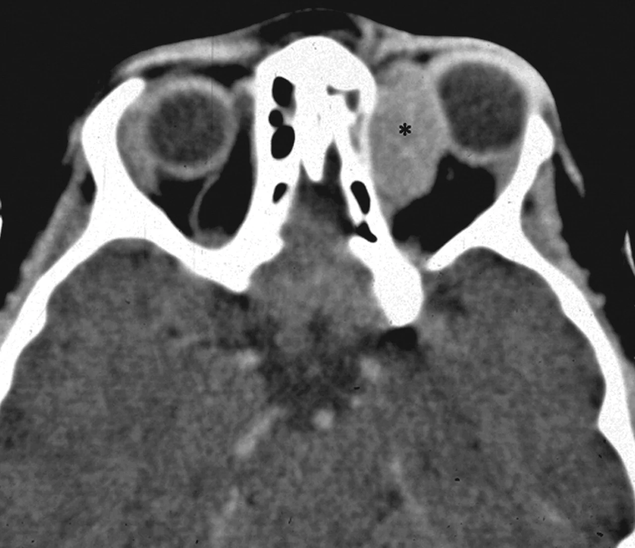
  • CT Scan Image (left side)

  • Child’s Face (right side)

    • The child has a noticeable redness and swelling around the right eye.
    • The right eye appears to be protruding.