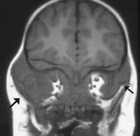
Rhabdomyosarcoma = Embryonal Sarcoma
- Most common primary solid orbital malignancy of childhood
- Average age at presentation 7-8 years
- Sudden onset and rapid evolution of unilateral proptosis
- 90% 5 years survival rate with timely and appropriate treatment



