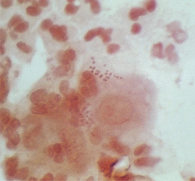
Causative Organism
Caused by infection with the bacteria Neisseria gonorrhoeae.
Its STI, treatment of partners is required.
Symptoms
- Asymptomatic in up to 50% of cases.
- Vaginal discharge the most common symptom.
- Lower abdominal pain in up to 25%.
Examination
- Is often normal.
- Cervicitis with or without a mucopurulent discharge may be seen.
Complications
- Ascending infection may result in PID and.
- Haematogenous spread can cause disseminated gonococcal infection with arthritis that is typically (monoarticular).
- Ophthalmic infection occurs due to inoculation from infected genital secretions.
- Neonatal infection occurs when the mother has endocervical infection at the time of delivery.
/attachments/Pelvic-Inflammatory-Disease-(PID)-ps15-2.webp)
Tests
- NAAT tests are highly sensitive and specific.
- Culture and sensitivity testing (antimicrobiological resistance).
- Screening for other STIs, particularly for (C. trachomatis).
Treatment
Third-generation cephalosporin plus azithromycin. (to reduce drug resistance).