Complications of RH Immunization

Fetal and Neonatal Risks

  • Fetal Hydrops And Stillbirth (hgb less than 4 gm/dl).
  • Hepatosplenomegaly.
  • Neonatal Jaundice (post delivery).
  • Complications Of Neonatal Kernicterus (Lethargy, Hypertonicity, Hearing Loss, Cerebral Palsy And Learning Disability).
  • Neonatal Anemia (Hgb < 11 gm/dl).

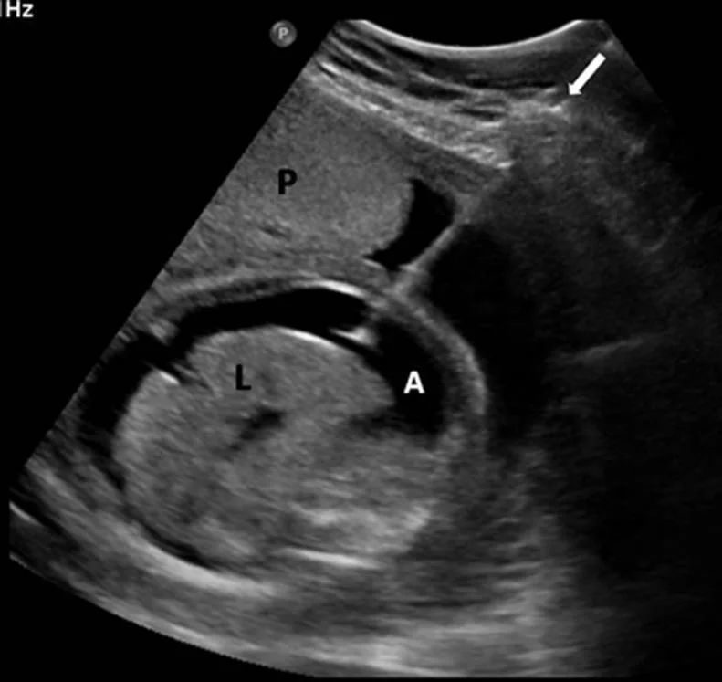
Hydrops Fetalis

Definition and Characteristics

  • Is a form of in utero heart failure.
  • In the setting of Rh alloimmunization, it is characterized by the presence of:
  • Fetal ascites.
  • Pericardial effusion.
  • Pleural effusion.
  • Subcutaneous edema (best seen as scalp edema).
  • Polyhydramnios.

Hydrops Fetalis Ultrasound

Intrauterine Transfusion

Goal and Procedure

  • Initially introduced in 1963.
  • Started as an intraperitoneal transfusion.
  • Currently is usually an intravascular transfusion.
  • The goal is to transfuse fresh group O, Rh-negative PRBCs.
  • Blood is screened, irradiated, washed, and processed through a leukocyte-poor filter.
  • Curare is usually injected directly into the fetal thigh before transfusion to immobilize the fetus during the procedure.
  • Repeat transfusions are generally scheduled at 1- to 3-week intervals.
  • The final transfusion is typically performed at 34 weeks’ gestation.
  • Delivery when the lungs are mature.

Intravascular Blood Transfusion

Details and Goals

  • Goal is to have post-transfusion Hct 40-45%.
  • Can infuse about 10 ml/min.
  • Estimate requirement based on EFW and pre-transfusion Hct.
  • Repeat in 1 week, then about every 3 weeks.
  • Hct falls about 1%/day.
  • Goal: keep Hct > 25%.
  • Smaller volumes, therefore more procedures compared to IPT.
  • Fetal loss about 1.5% per procedure.

Fetal Intraperitoneal Procedure

Mechanism and Steps

  • Transfusion RBCs are absorbed through the subdiaphragmatic lymphatics, proceed through the right lymphatic duct into the fetal intravascular compartment.
  • Blood absorbed within 7-9 days.
  • Removal of ascitic fluid at the time of transfusion.

Fetal Intraperitoneal Procedure Details

Technique and Volume Calculation

  • A 20-gauge spinal needle is inserted into the peritoneal cavity.
  • The RBCs are slowly injected manually in 10-mL aliquots.
  • If fetal bradycardia occurs during the procedure, the transfusion is terminated.
  • For intraperitoneal transfusions, the volume to be infused is based on the following formula: Volume = [gestational age (weeks) – 20] × 10.

Post Intrauterine Transfusion Prognosis

Infant statusSurvival rate
Over all85%
No hydrops90%
With hydrops75%