Anatomy and Stability
The hip joint is stable because of:
- Shape of head and acetabulum
- Acetabular Labrum:
- Strong fibrous ring
- ↑↑ femoral head coverage
- Strong ligaments and muscles
Mechanism
- Caused by high energy trauma
- ✓ Road Traffic accident:
- Knee striking against dashboard (unrestrained in car)
- Position at impact determines type of dislocation
Types
- ✓ Posterior: (the commonest)
- Anterior: rare





Posterior Hip Dislocation
Clinical Picture:
- Pain, Inability to move hip
- On examination: Limb is short, adducted, internally rotated & slightly flexed
Must Rule-out:
- Sciatic nerve injury
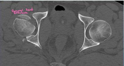
- Associated fractures:
- Femur or acetabulum
- Patella
Imaging:
- X-ray & CT scan
- R/O an acetabular fracture (or intraarticular bony fragment)





Anterior Hip Dislocation
- Rare
- The leg lies externally rotated, abducted & slightly flexed
- Palpable head in the groin


