Metastatic Bone Disease
Overview
- Secondary metastasis in bone
- Primary tumor in other tissue
Malignant Tumors of Bone
- Primary bone 5%
- Metastasis 95%

Characteristics
- Common in skeleton
- In patients >50 yrs.:
- metastasis more common than all primary tumors together
- Primary from:
- Lung, Breast, Prostate, Kidney, Thyroid, Bladder, GIT, ..
- Common sites:
- Vertebrae, pelvis, Proximal femur and humerus

Clinical Features
- Age 50-70 yrs.
- Pain – may be silent
- H.O Carcinoma
- Hypercalcaemia
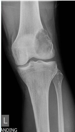
- X-ray:
- Osteolytic, moth-eaten
- Osteoblastic in ca prostate
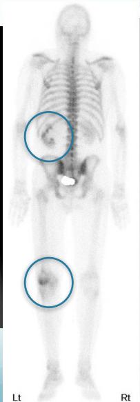
- Bone scan
- Anemia, raised ESR
- Antigen markers of tumors


Source: https://radiopaedia.org
Specific Examples
Metastatic - Prostate

Source: Orthopedic Radiology. A Greenspan. Lippincott-Raven
