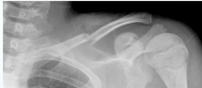
- Common occurrence
- Birth injury
- Pseudo-paralysis
- Fall on outstretched hand
- Heals well conservatively
- No functional problems
Treatment
- Sling or figure-of-8 bandage (better)
- Becomes loose after 2-3 days
Note: If the mother comes with swelling, assure her that it’s Callus - no need for follow up.



