- A joint (supination and pronation)
- Anatomical reduction is a must to preserve function
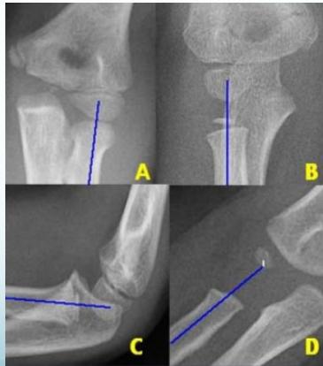
Radio-Capitellar Line:
- A line drawn through the center of the radial neck should pass through the center of the capitellum in all views and in both Extension and Flexion
- If not: dislocated radial head


Treatment
- Nondisplaced: Closed reduction, casting, close regular follow-ups
- Unstable or re-displace in cast: Closed reduction, elastic nail
- When ORIF: plating
Age consideration: 14-15 years old - may need plating

Closed Reduction and Casting
- If reduction is stable. Needs close regular follow-ups
- More stable when fractures are not at same level

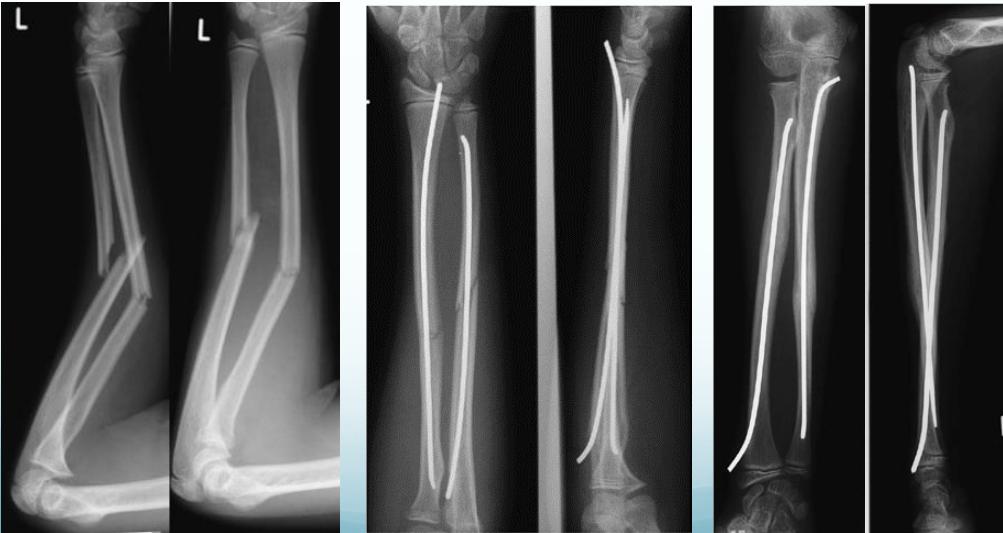
Intramedullary Elastic Nail
- 2 fractures at the same level = 100% unstable
- When unstable or re-displaces in cast
Teddy Slongo, Bern, Switzerland
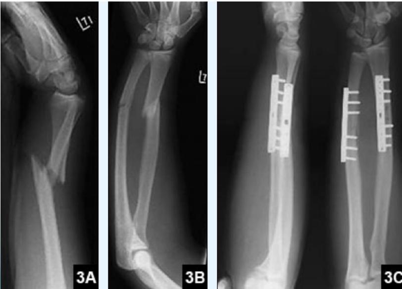
Plating

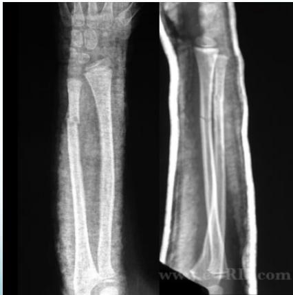
Monteggia
A Monteggia fracture is defined as a proximal 1/3 ulna fracture with an associated radial head dislocation.
Galeazzi
A Galeazzi fracture is a distal 1/3 radial shaft fracture with an associated distal radioulnar joint (DRUJ) injury.