Physeal Histology
- Physis: 4 zones
- Germinal zone
- Proliferative zone
- Hypertrophic zone
- Enchondral ossification

Epidemiology
- Incidence:
- 20% of all skeletal injuries in children
- 50% occur in the distal radius
- Problems:
- Some are intra-articular
- Possibility of growth affection
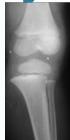
Classification – Salter-Harris

- Type I - Through the physis
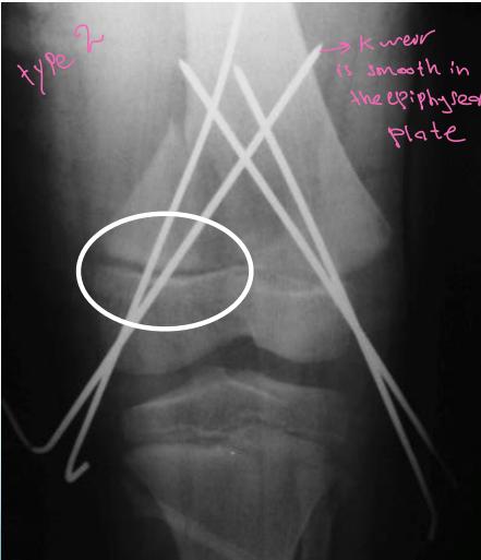
- Type II - Through the physis with small piece of metaphysis (75%)
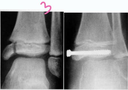
- Type III - Through the physis and extend to intra-articular
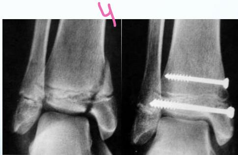
- Type IV - Metaphysis + physis + Intra-articular
- Type V - Cause growth arrest “Compression”
Treatment of Physeal Injuries
Extra-articular (Type I / II)
- Stable: conservative
- Unstable: K-wire / screws with cast





Intra-articular (Type III / IV)
- Anatomical reduction and internal fixation
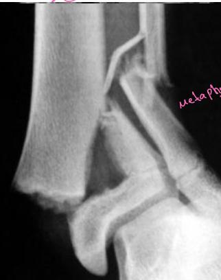
growth plate through epiphysis, not complete
growth plate through and through epiphysis
Compressed Type (Type V)
- Doesn’t appear on x-ray at first
- Cast & healed but prognosis is unpredictable
- Usually causes affection of growth arrest
- Diagnosed in retrospect!
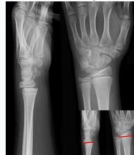
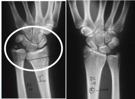
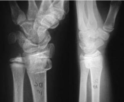
Injury films
Injured and uninjured wrists after premature physeal closure
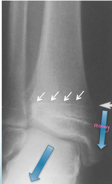
Asymmetrical Physeal Affection
- Seen on x-ray
- One side grows more than the other
- Causing an increasing deformity
- Oblique Park-Harris growth arrest/recovery line (white arrows)

Case Example: 12-year-old male, Salter-Harris Type II
