Meniscal Tears
Clinical Characteristics
- Common in young adults – sports injuries
- Mechanism of injury:
- Weight bearing on flexed knee with twisting
- Medial meniscus >> lateral meniscus
- Less mobile / more attached to capsule


Types of Tears
- Bucket handle tear
- Flap tear
- Oblique “Parrot-beak” tear


Healing Properties
- Most is avascular - therefore limited healing capacity
- Red zones: Have a blood supply (can heal)
- White zones: Avascular (limited healing potential)
Meniscal Anatomy and Blood Supply

Meniscus Structure:
- Red zone: Peripheral 1/3 area with blood supply (can heal)
- White zone: Central 2/3 area (avascular)
Types of Tears:
- Longitudinal tear
- Oblique tear
- Radial tear
© Healthwise, Incorporated

BLOOD SUPPLY: The peripheral 1/3 area of the meniscus is the most vascularized area and tears within this area usually heal.
RED - RED: Peripheral tears with vascular supply have healing potential
Dr. Nabil Ebraheim

Clinical Presentation
- Young adults / sports injury
- Injury history is not as dramatic as cruciate injuries
- Swelling after several hours/next day
- History of locking and/or giving way
Clinical Signs
- Wasting of quadriceps muscle
- Swelling (effusion)
- McMurray test positive
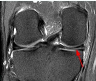
Diagnostic Studies
MRI


Treatment Options
Primary treatment is surgical:
- Arthroscopy is the procedure of choice
- Peripheral tears: Operative repair possible (due to blood supply)
- Other tears: Partial meniscectomy to remove displaced portion

http://www.orthopaedie-fachaerzte.de

http://321gomd.com/meniscus-tears
Surgical Approaches
Partial Meniscectomy
- Indications: Tears in white zone
- Radial tears
- Longitudinal tears
- Bucket handle tears
Meniscal Repair
- Indications: Peripheral, longitudinal tears in red zone (due to blood supply)