Age-Based Diagnostic Algorithm
Timeline Overview (1-15 years)
Age-based prevalence of conditions:
- DDH (Developmental Dysplasia of the Hip): Years 1-3
- Perthes Disease: Years 4-9
- SCFE (Slipped Capital Femoral Epiphysis): Years 10-13
- Growing Pains: Years 10-12
- Infections: Years 10-14
- Trauma: Years 10-15

Detailed Chronological Distribution
Timeline (years): 1, 2, 3, 4, 5, 6, 7, 8, 9, 10, 11, 12, 13, 14, 15
Conditions associated with specific ages:
- DDH (Developmental Dysplasia of the Hip) - Early childhood
- Growing Pains - School age
- Septic Arthritis - Variable
- Perthes Disease - Early school age
- Osteomyelitis - Variable
- SCFE (Slipped Capital Femoral Epiphysis) - Adolescence
- Trauma - Increasing with age

Age-Specific Conditions
Different diseases occur more commonly at specific age groups:
Age 1-4 Years
Developmental Dysplasia of the Hip (DDH)
Risk Factors:
- Female gender
- Breech presentation
- Family history
- Swaddling practices
- Associated conditions: torticollis, metatarsus adductus, calcaneovalgus
Physical Findings:
- Asymmetrical gluteal folds
- Limited hip abduction
- Apparent limb shortening
- Positive Trendelenburg sign

Age 3-6 Years
Transient Synovitis
- Presentation: Limping, painful movement
- Lab findings: May have slightly elevated WBC, fever, or ESR
- Course: Resolves within days without treatment
Septic Arthritis
- Presentation: Limping, refusal to walk
- Diagnostic criteria:
- Fever > 38.5°C
- WBC > 12,000
- ESR > 40 mm/h
- Management: Joint aspiration if diagnosis uncertain
Legg-Calve-Perthes Disease
Definition: Idiopathic avascular necrosis of the femoral head
Epidemiology:
- Age: Usually 4-8 years
- Gender: Boys 4× more common than girls
- Pathophysiology: Peculiar blood supply dependent on lateral epiphyseal vessels which may be easily occluded
Clinical Presentation:
- Limping (painful or painless)
- May present with knee or thigh pain
- Early stage: Limitation of all hip movements with pain and muscle spasm on passive motion
- Late stage: Limitation of abduction and internal rotation
- Positive Trendelenburg sign
Radiographic Stages:
-
Initial/ Bone Death Stage (Sclerosis)
- May initially appear normal on x-ray
- Increased density followed by collapse

-
Revascularization and Repair Stage
- Reduced density and fragmentation on x-ray

-
Distortion and Remodeling Stage
- Distortion, flattening (coxa plana)
- Enlargement (coxa magna) with partial uncoverage
Radiological Progression:

Progression: Sclerosis → Collapse → Fragmentation → Remodeling
Imaging Examples:


Treatment:
- Conservative:
- Rest
- Physiotherapy: abduction and rotation exercises
- Containment using abduction splint
- Surgical:
- Containment procedures: To improve femoral head coverage
- Acetabuloplasty
- Femoral varus osteotomy
- Late procedures: For residual deformity or problems
- Containment procedures: To improve femoral head coverage
Prognosis: Depends on:
- Age at onset: Earlier onset = better prognosis
- Extent of head involvement: Complete head involvement = worse prognosis
Complications:
- Hip stiffness (related to deformed femoral head)
- Secondary osteoarthritis
Age 10-15 Years
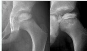
Slipped Capital Femoral Epiphysis (SCFE)
Definition: Antero-lateral slippage of the femoral metaphysis relative to the epiphysis
Epidemiology:
- Occurs around puberty
- Risk factors:
- Male gender
- Overweight/obesity
- Hypogonadism
- Tall stature or gonadal underdevelopment
- Pathophysiology: Hormonal imbalance between gonadal and growth hormones
Clinical Presentation:
- Limping
- May present with thigh or knee pain
- Types: Acute slip vs. chronic slip
Physical Examination Findings:
- Overweight body habitus
- Hypogonadism signs
- Hip positioning:
- Externally rotated hip at rest
- Loss of internal rotation
- Obligatory external rotation on hip flexion
- Bilateral involvement: Occurs in 1/3 of patients
Imaging:
- Required views: AP and Frog lateral pelvis
- Key finding: Slippage of femoral epiphysis
Radiographic Examples:

Comparative views showing slipped vs. normal hip:
(Source: Apley’s System of Orthopedics and Fractures)
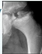
Clinical examination findings:
(Source: Apley’s System of Orthopedics and Fractures)

Physical examination demonstration:

X-ray Diagnosis:
| View | Slipped Hip | Normal Hip |
|---|---|---|
| AP | ![]() | - |
| Frog Lateral | ![]() | - |

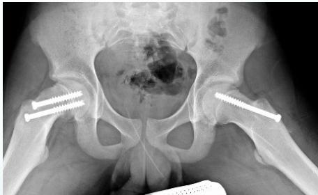
Treatment:
- Critical principle: Manipulation to reduce the slip may cause avascular necrosis (AVN)
- Surgical management:
- Fixation in situ (without reduction)
- Prophylactic fixation: Consider fixing the contralateral hip (1/3 will develop slip on other side)
Complications:
- Avascular necrosis (AVN)
- Coxa vara
- Slippage of opposite hip
- Secondary osteoarthritis
(Source: BMJ Best Practice)
Age 3-12 Years
Acute Osteomyelitis
- Presentation: Constitutional symptoms with localized bone pain
- Diagnostic workup:
- Laboratory: WBC, CRP, ESR
- X-ray: May initially be normal
- MRI: Gold standard for early diagnosis
Age 5-18 Years
Trauma
Pattern of traumatic injuries varies by age:
- Household injuries - Early childhood
- Playground injuries - Childhood
- School and sports injuries - Older children and teenagers
- Road traffic accidents - Teenagers
Foreign Body Injuries
- Prick or splinter in sole of foot
Growing Pains
- Diagnosis: By exclusion of all other diseases
- Location: Pain in legs, not at joints
- Age groups: 3-5 years and 8-12 years
- Diagnostic criteria (MUST meet all 3):
- Bilateral leg pain
- Pain occurs only at night
- No limping nor pain symptoms during the day
Clinical Examples:
(Source: KidsHealth.org)

⚠️ Warning: Inaccurately diagnosing a limping child with “growing pains” risks missing significant disease

