Dermatomyositis
Dr. Muhammad Farooq
Introduction
- Dermatomyositis is an idiopathic inflammatory myopathy.
- Characterised by progressive muscle weakness and distinctive skin manifestations.
- Occurs in both adults and children.
- Associated with malignancy in adults.
Epidemiology
- Rare disorder (incidence ~1 per 100,000).
- More common in females.
- Peak incidence: 5–15 years (juvenile) & 45–65 years (adults).
Pathophysiology
- Autoimmune-mediated microangiopathy.
- Complement activation leads to destruction of capillaries.
- Muscle ischemia and perifascicular atrophy.
- Inflammatory infiltration in perimysium. Z
- Genetic factors play some role.
- More common in HLA-DR people.
Clinical Features
Muscle Manifestations
- Symmetrical proximal muscle weakness.
- Difficulty climbing stairs, rising from chair, lifting arms.
- Muscle pain (less prominent than weakness).
- Dysphagia in severe cases.
- Speech problems are rare.
Skin Manifestations
- Heliotrope rash: Violaceous discoloration around eyelids.
- Gottron’s papules: Erythematous scaly papules over knuckles.
- Photosensitivity rash on face, neck, upper chest.
- Mechanic’s hands: Rough, cracked skin on palms.
- Shawl sign: Erythematous rash over shoulders, upper back, and neck (V-shaped distribution).

Clinical Images



shawl sign




Investigations
Blood Tests
- Creatine Kinase (CK): Elevated
- AST/ALT: Elevated
- LDH: Elevated
Autoantibodies
- Anti-Mi-2
- Anti-TIF1-Îł (malignancy association)
Electrophysiology
- EMG: Myopathic pattern
Imaging
- MRI: Muscle edema
Muscle Biopsy
- Perifascicular atrophy
- Perimysial inflammation z
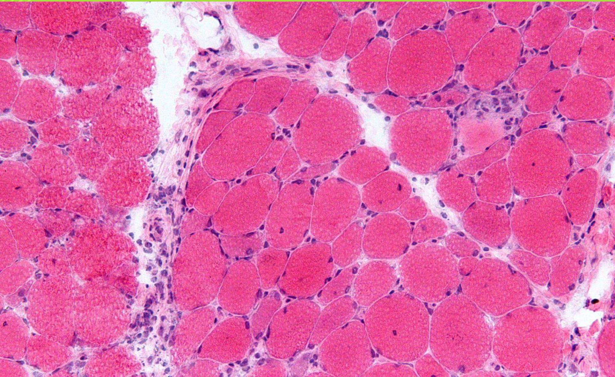
Histopathological Comparison
Perimysial Inflammation in Dermatomyositis

Pathological features showing perimysial inflammation - characteristic of dermatomyositis.
Endomysial Inflammation in Polymyositis

Pathological features showing endomysial inflammation - characteristic of polymyositis for comparison.
Association with Malignancy
- Strong link in adults (up to 30%).
- Common cancers:
- Ovarian
- Breast
- Lung
- Gastric
- Cancer screening is essential in all adult patients.
Systemic Manifestations
Pulmonary Involvement
- Interstitial lung disease
- Shortness of breath
- Restrictive pattern on spirometry
Cardiac Involvement
- Arrhythmias
- Cardiomyopathy
Musculoskeletal
- Joint pain (arthritis, arthralgia)
General Symptoms
- Fatigue
- Fever
- Weight loss
Treatment
- First-line: Corticosteroids (prednisolone)
- Immunosuppressants: Methotrexate, Azathioprine
- Biologic/Immunomodulatory therapies: IVIG or Rituximab in resistant cases
- Physiotherapy: To prevent contractures
- Sun protection: For skin lesions
Prognosis
- 5-year survival rate: ~75–80%.
- Worse prognosis if associated with malignancy.
- Juvenile cases may develop calcinosis.
- Early diagnosis and treatment improve outcomes.


Summary
- Dermatomyositis is an autoimmune inflammatory myopathy with skin involvement.
- Presents with proximal muscle weakness and characteristic rashes (heliotrope rash, Gottron’s papules, shawl sign, mechanic’s hands).
- Associated with malignancy in adults (up to 30%) - requires cancer screening.
- Diagnosis: CK elevation, autoantibodies (Anti-Mi-2, Anti-TIF1-Îł), muscle biopsy showing perifascicular atrophy and perimysial inflammation.
- Treatment: Steroids, immunosuppressants, physiotherapy.
- Prognosis: 5-year survival ~75-80%; depends on early detection and malignancy screening.