Approach to Infant Wheezing
Dr. Faten Zaidan
CASE 1
- 2 years old fully immunized boy is brought to ER for sudden onset of barking cough associated with inspiratory stridor.
- He has moderate suprasternal retractions and stridor.
- Lungs fields are clear on auscultation.
- What is your next step in management?
- Dexamethasone with no response give Epinephrine - trial with humidified oxygen
- Mild: stridor moderate - severe: destating.
unlikely epiglottis due
- fully immunized
- cough
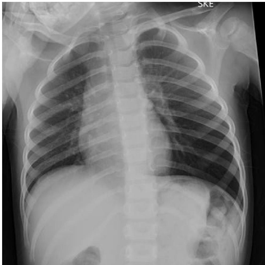
CASE 2
foreign body aspiration deep sulcus - diaphragm depressed

CASE 3
- Mother brings her 6 week old girl who has high pitched inspiratory voice that worsens with excitement or crying.
- There is no respiratory distress or hoarseness in her voice.
- What is your diagnosis?
- laryngomalacia
- What is your management?
- reassurance
CASE 4
- An infant has biphasic stridor, poor feeding and respiratory distress.
- You suspected vascular compression of the trachea.
- Which test is the most sensitive and specific which you would do?
- MRI angiogram
CASE 5
-
2 years old child acutely developed severe respiratory distress and stridor.
-
He is unable to swallow secretions.
-
Body temperature is 40 C.
-
HR 190/min, RR 50/min, BP 80/40 mmHg.
-
He looks toxic, drooling and in distress.
-
What is your diagnosis? -epiglottis (drooling, cant swallow, toxic looking, tripod position)
-
What would you do? -Dont touch, Call ENT, OR
CASE 6
- A teenager is eating peanuts.
- He laughed so he choked and started coughing.
- He appears anxious and cannot produce sound.
- He is no longer coughing.
- What would you do?
- CPR