Immune Thrombocytopenic Purpura (ITP)
Overview of Purpura and Thrombocytopenia
Definition of Purpura
Purpura may result from:
- Disruption in vascular integrity (e.g., trauma, infection, vasculitis, collagen disorders).
- Abnormalities in primary or secondary hemostasis (e.g., thrombocytopenia, abnormal platelet function, or clotting factor deficiency).
Pediatric Purpura Algorithm
--and--HENOCH-SCHÖNLEIN-PURPURA_img-0.jpeg)
Normal Platelet Parameters
- Normal Counts:
- Newborn: 84,000 – 478,000 cells/mm³
- After 1 week – Adult: 150,000 – 400,000 cells/mm³
- Average Life Span: 7–10 days.
- Thrombocytopenia: Defined as a platelet count < 150,000 cells/mm³.
Causes of Thrombocytopenia
- Increased Platelet Sequestration: Hypersplenism, hypothermia, burns.
- Increased Platelet Destruction: Immune-mediated or non-immune.
- Decreased Platelet Production.
Critical Cut-off Values
- Neonates: 20,000 – 50,000 cells/mm³ (high risk for Intra Cranial Hemorrhage).
- Children: 10,000 – 20,000 cells/mm³.
- Spontaneous Bleeding: Typically does not occur until counts are < 20,000 cells/mm³.
Epidemiology and Pathogenesis of ITP
Definition and Incidence
ITP is a disorder characterized by the accelerated destruction of antibody-sensitized platelets by phagocytic cells, especially in the spleen. It is an acquired, most commonly benign disorder.
- Incidence: 1 in 20,000 children/year.
- Peak Age: 1–4 years.
- Sex Distribution: 1:1 (in children).
- Triggers: A recent history of viral illness is described in 50–65% of childhood cases, occurring usually 1–4 weeks after exposure. It is more frequent in late winter and spring.
Pathogenesis
- Acute ITP: The exact trigger for the acute autoimmune presentation is often unknown.
- Chronic ITP: Patients demonstrate antibodies against platelet glycoprotein complexes (αIIb-β3 and GPIb). Antibody-coated platelets are recognized by Fc receptors on splenic macrophages and destroyed.
- Associated Pathogens: EBV, HIV, Helicobacter pylori, and rarely vaccines.
Clinical Features of ITP
Classification: Acute vs. Chronic ITP
| Feature | Acute ITP | Chronic ITP |
|---|---|---|
| Duration | Self-limited, < 12 months | > 12 months |
| Age | Children 2–6 years | Adults / Adolescents (> 10 years) |
| Sex | Equal | Female/Male (3:1) |
| Onset | Acute | Insidious |
| Preceding Infection | ~80% (viral/vaccine) | Unusual |
| Platelet Count | < 20,000/mm³ | 40,000–80,000/mm³ |
| Autoimmunity | Uncommon | More common (e.g., SLE) |
| Prognosis | Spontaneous remission (80%) | Fluctuating chronic course |
Physical Presentation
- Classic Presentation: Sudden onset of generalized petechiae and purpura in a previously healthy child.
- Examination: Usually normal except for skin findings.
- Rare Findings: Splenomegaly (10%), lymphadenopathy, bone pain, and pallor.
- Warning Signs: If malaise, bone pain, or significant adenopathy is present, suspect malignancy.
Bleeding Severity Classification
- No symptoms.
- Mild: Bruising, petechiae, minor epistaxis; little interference with daily living.
- Moderate: Severe skin/mucosal lesions, troublesome epistaxis, or menorrhagia.
- Severe: Bleeding requiring transfusion or hospitalization (e.g., melena, severe epistaxis) interfering with quality of life.
Investigations for ITP
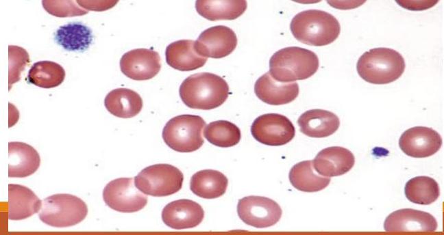
- Complete Blood Count (CBC):
- Severe thrombocytopenia (< 20 × 10⁹/L) is common.
- Platelet size is normal or increased (reflects high turnover).
- Hb and WBC counts are typically normal.
- Coagulation Studies: Bleeding time is prolonged; clotting time is normal.
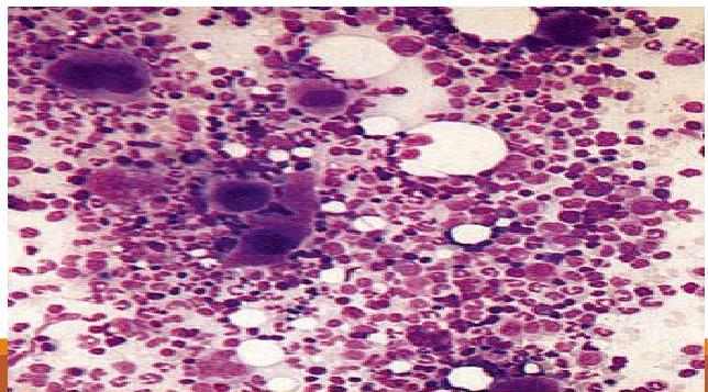
- Bone Marrow Aspiration: Shows normal granulocytic/erythrocytic series with normal or increased megakaryocytes. Indicated only for atypical features or therapy failure.
- Chronic ITP Screening: (to exclude sle)
- Screening for immunodeficiency.
- Anti-nuclear antibodies (ANA).
- Direct Coombs test.
- Antiphospholipid antibody assay.
- Thyroid function tests.
- Parental blood counts/smear.
- Note: Serological testing for platelet auto-antibodies is generally unnecessary due to low specificity.
--and--HENOCH-SCHÖNLEIN-PURPURA_img-2.jpeg)
Management of ITP
General Principles
- Limit physical activity to prevent trauma.
- Avoid Aspirin and NSAIDs.
- Detailed family education and careful follow-up.
- Observation: Appropriate if platelet count > 20,000/mm³ with minor purpura.
Pharmacotherapy
- Corticosteroids: Inhibit phagocytosis and antibody production; improve microvascular stability.
- Intravenous Immunoglobulin (IVIG):
- Induces a rapid rise in platelets (> 20 × 10⁹/L) in 95% of patients within 48 hours.
- Mechanism: Blocks Fc receptors in the spleen.
- Side Effects: Flu-like symptoms, aseptic meningitis, anaphylaxis, hemolytic anemia.
- Anti-D (Rh-Positive Patients):
- Rise in platelets in 80–90% of patients within 48–72 hours.
- Mechanism: RBC-antibody complexes interfere with platelet destruction.
- Side Effects: Mild hemolysis, headache, fever.
Chronic ITP Management
1/3 of these children – spontaneous remission in months or years later Observation alone is an approach for many patients, especially those with minimal symptoms.
- Primary Goal: Prevent major bleeding, not necessarily to “cure” the disease.
- Medical Therapy: IVIG, Corticosteroids, Anti-D, or Rituximab.
- Thrombopoietic Agents: Romiplostim and Eltrombopag (FDA approved for adults; encouraging data in children).
- Splenectomy:
- Candidates: Older children (≥ 4 years) with chronic ITP (> 1 year) and uncontrolled symptoms.
- Indicated in life-threatening hemorrhage (e.g., intracranial hemorrhage).
- Success Rate: 64–88% complete remission.
Child can be managed using medical therapy, such as IVIG, corticosteroids, IV anti-D, or rituximab. Two effective agents that act to stimulate thrombopoiesis, romiplastin and eltrombopag are approved by the FDA to treat adults with chronic ITP.
Preliminary data using thrombopoietic agents in children are encouraging.
Prognosis
- Excellent recovery chance irrespective of therapy.
- Platelets normalize in 4–8 weeks Z for 50% of patients, and 2/3 resolve by 3 months.
- Recurrence: 5% have recurrent episodes followed by long remissions.