Sturge-Weber Syndrome
Sturge-Weber syndrome is a sporadic (not inherited; due to somatic mutation) disorder.
Clinical Features
1. Cutaneous Port-Wine Stain (Nevus Flammeus)
- Hemangioma of the upper face and scalp.
- Predominantly limited by the midline, involving the ophthalmic division (V1) of the trigeminal nerve (forehead and upper eyelid).
- Present at birth.
- Note: Not all children with a facial port-wine stain have Sturge-Weber.
Fig. 15.42 Sturge-Weber angiomatosis. Unilateral facial hemangioma

2. Neurological Manifestations
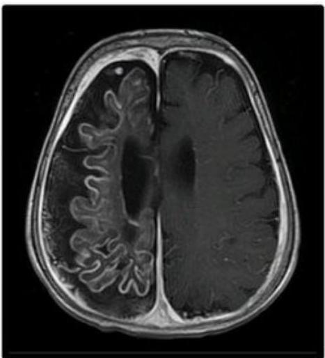
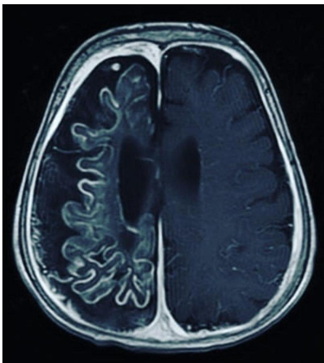
- Leptomeningeal Angioma: Vascular anomaly of the leptomeninges on the ipsilateral side.
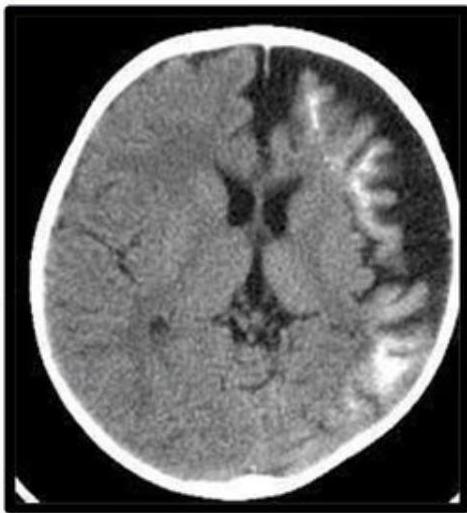
- Brain Atrophy & Calcification: Underlying brain becomes atrophic and calcified (“Tram track” calcification).
- Convulsions: Most common neurological manifestation (75%). Confined to the contralateral side.
- Focal Deficits: Spastic hemiparesis, hemianopia on contralateral side, stroke-like events.
- Intellectual Disability: Many are normal, but some develop cognitive impairment due to progressive ischemia.

3. Ocular Manifestations
- Glaucoma: May develop in the ipsilateral eye; requires surgery.
- Buphthalmos.
- Diffuse choroidal hemangioma.
Diagnosis
- Best Diagnostic Study: Brain MRI with gadolinium contrast (demonstrates leptomeningeal angioma).
- Skull X-ray/CT: Shows Tram track calcification (gyriform calcification).
Management
- Multidisciplinary team.
- Seizure Control: Standard anticonvulsants; Hemispherectomy has been proposed for individuals with unilateral disease whose seizures are difficult to control, both to control the epilepsy and to preserve cognitive and motor development. Low-dose aspirin may result in improved perfusion and there
- Stroke Prevention: Low-dose Aspirin may improve perfusion. thereby reduce stroke like events and seizures
- Cosmetic: Pulse dye laser surgery for port-wine stain.
- Ophthalmologic: Management of glaucoma.
- Endocrinology: Monitor for Growth Hormone deficiency or hypothyroidism.