CM
- Very common, slow-growing and benign tumor of fat
- Soft, mobile subcutaneous mass (not attached to the skin) enclosed in a thin fibrous capsule, slippery edge, and no skin changes
- Most are asymptomatic.
- Fistula, etc… = Malignancy
- Treatment: risk assessment, aspiration; surgical.

Imaging z
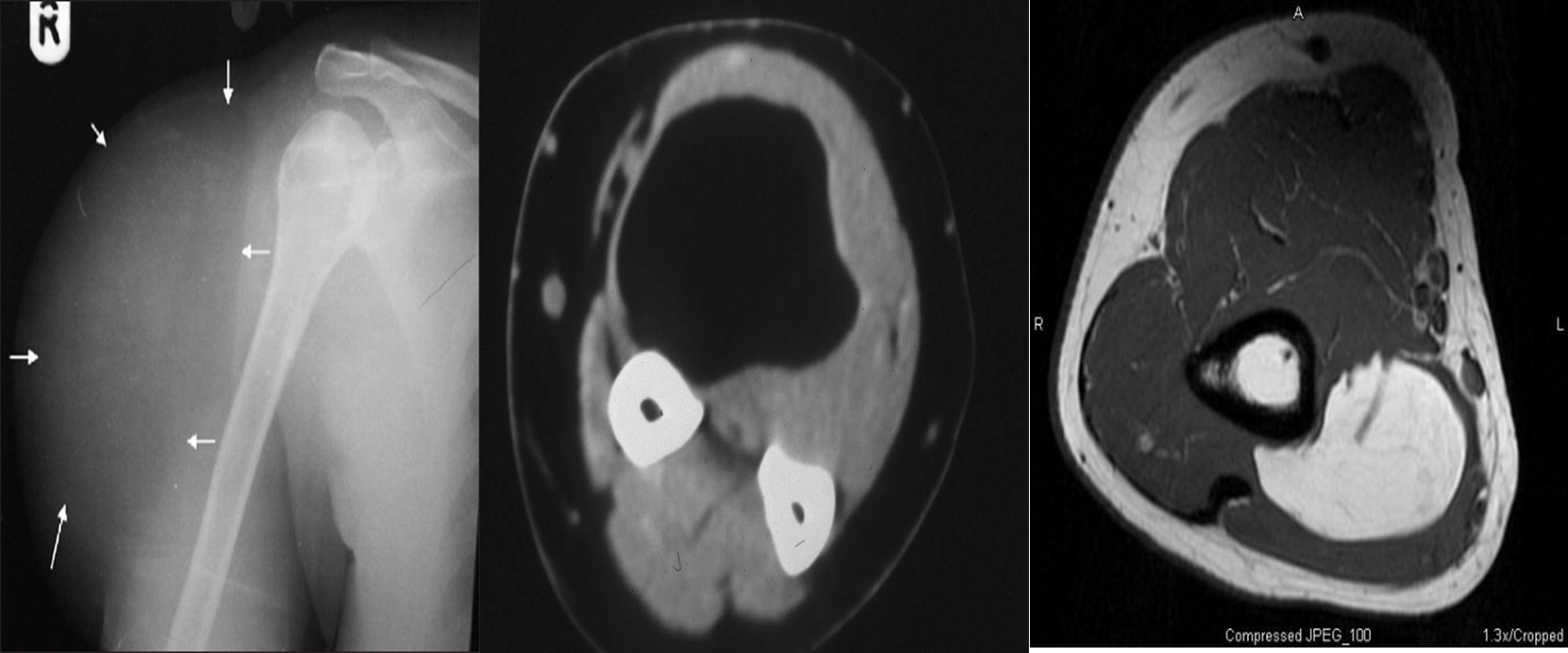
Soft tissue tumor right arm: LIPOMA
B- CT. Lipoma Fatty tissue appear dark on CT and so the tumor
C- MRI. Lipoma Fatty tumor give bright signal on MRI