Labor pneumonia
General signs
- Acute facial features, blushing
- Nares flaring (dyspnea)
- Cyanosis
- Tachycardia
- Simple herpes around lips
Inspection
- Decreased respiratory movement
- Palpation
- Increased vocal resounce
Bronchial asthma
Symptom Expiratory dyspnea with wheezing
Signs
- Expiratory dyspnea with wheezing
- Orthopnea
- Cyanosis
- Severe sweat
- Decreased movement of respiration
- Decreased vocal fremitus
- Hyperresonance
- Rhonchi in full fields of lungs

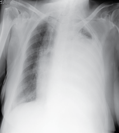
Moderate to massive effusion
Signs
- Tachypnea ⇒
- Limited movement of affected side ⇒
- Costal interspaces of affected side are wider ⇒
- Trachea shifts to opposite side ⇒
- Decreased vocal fremitus ⇒
- Stony Dullness ⇒
- Decreased or disappeared vesicular breath sound ⇒
- Pleural friction rub ⇒
- Abnormal bronchial breath sound in upper area of the fluid

- Dry cough
- Chest pain
- Disappeared with growing of pleural effusion
- Reappeared with the fluid decreasing
- Affected side lying
- Dyspnea, orthopnea
- The symptoms of underlying disease
