CT image of female pelvis
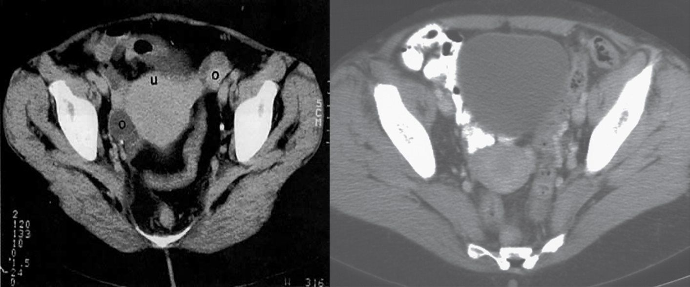
Normal uterus in a 49-year-old patient, on CT, following intravenous contrast enhancement. Note the oral contrast medium within loops of the small bowel

Normal uterus in a 49-year-old patient, on CT, following intravenous contrast enhancement. Note the oral contrast medium within loops of the small bowel
