It contains fat , various calcified components (teeth) , soft tissue & hair. These ovarian tumours are predominantly benign and can usually be recognized on ultrasound ,CT & MRI and sometimes on plain radiographs.
Plain film showing well-developed teeth within the cyst

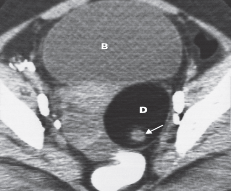
Dermoid cyst. CT scan
showing the oval-shaped fat density of a dermoid cyst (D) containing calcified material (arrow). B, bladder.

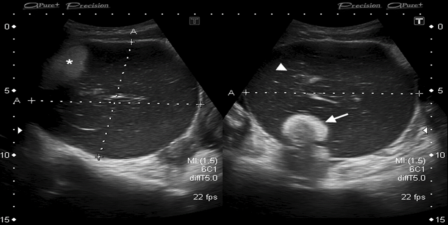
Dermoid cyst/mature cystic teratoma Ultrasound appearance
- Large tumor with a solid component
- Solid component arises from the wall of the cyst.
- Small areas of calcification
