-
The lost intrauterine contraceptive device (IUCD) is a relatively common problem and ultrasound should be the first investigation
-
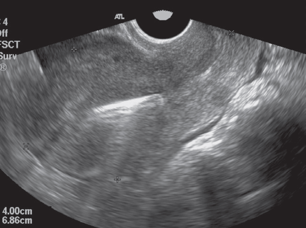
They are seen as highly reflective structures and their relationship to the uterine cavity can be determine.
-
If the IUCD cannot be located in the pelvis, then a plain film of the abdomen should be taken in case the device has migrated through the uterus.

longitudinal ultrasound scan.
Intrauterine contraceptive device seen as a linear reflective echo within the uterine cavity
